Wybrane metamorfozy

Kompleksowa odbudowa bezzębia na belkach tytanowych
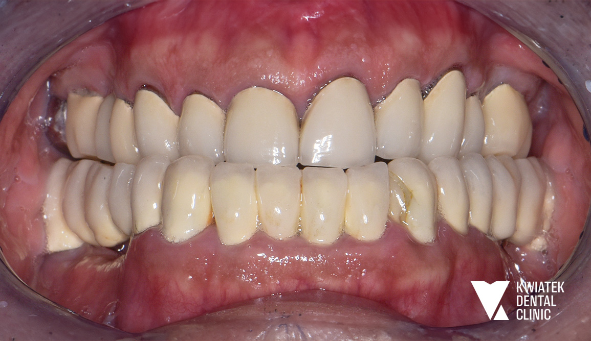
Projekt: komfort na lata czyli uśmiech gotowy na kolejne dekady
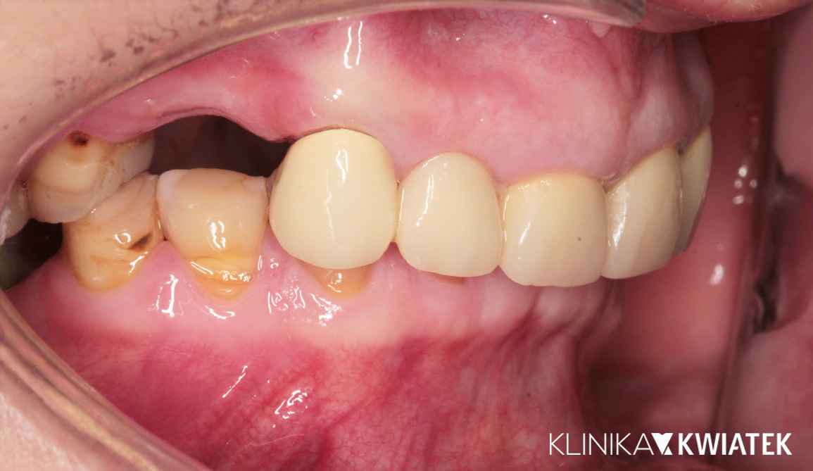
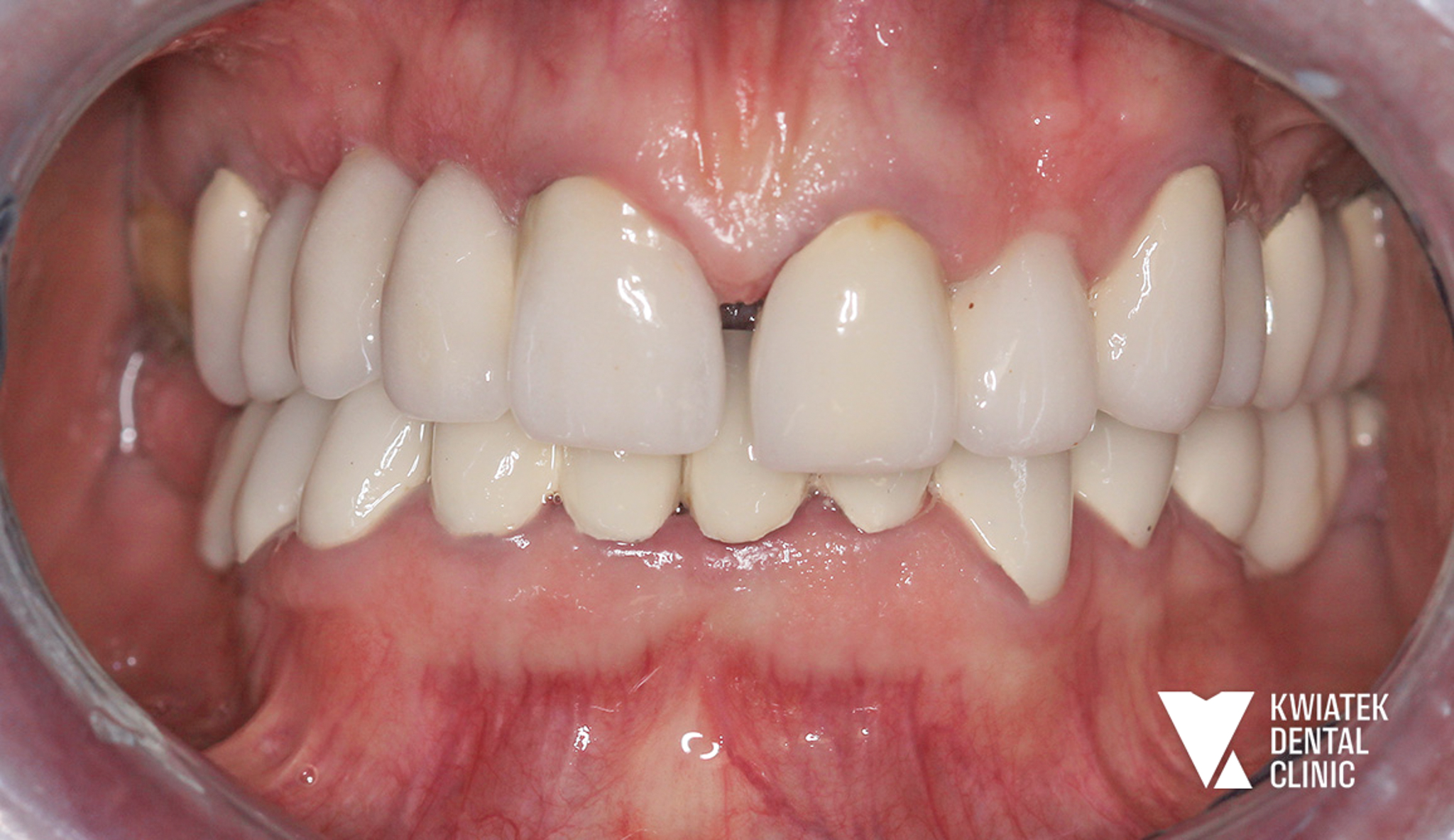
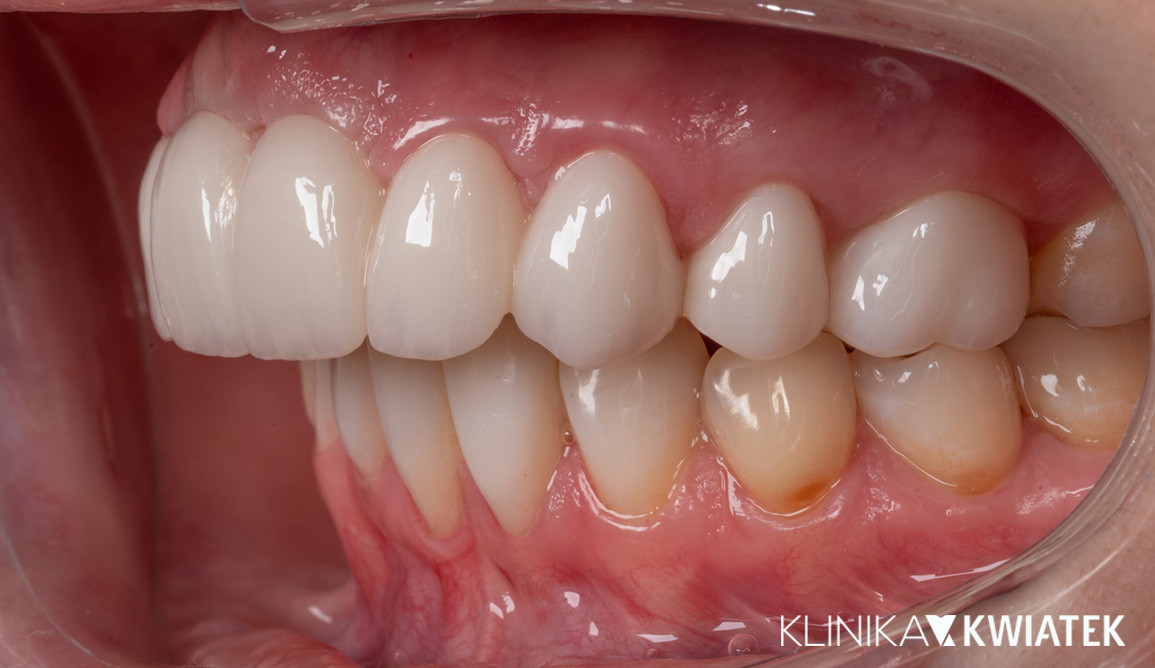
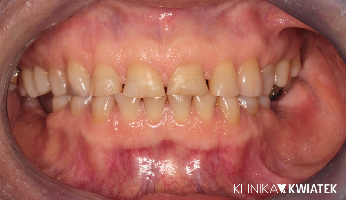
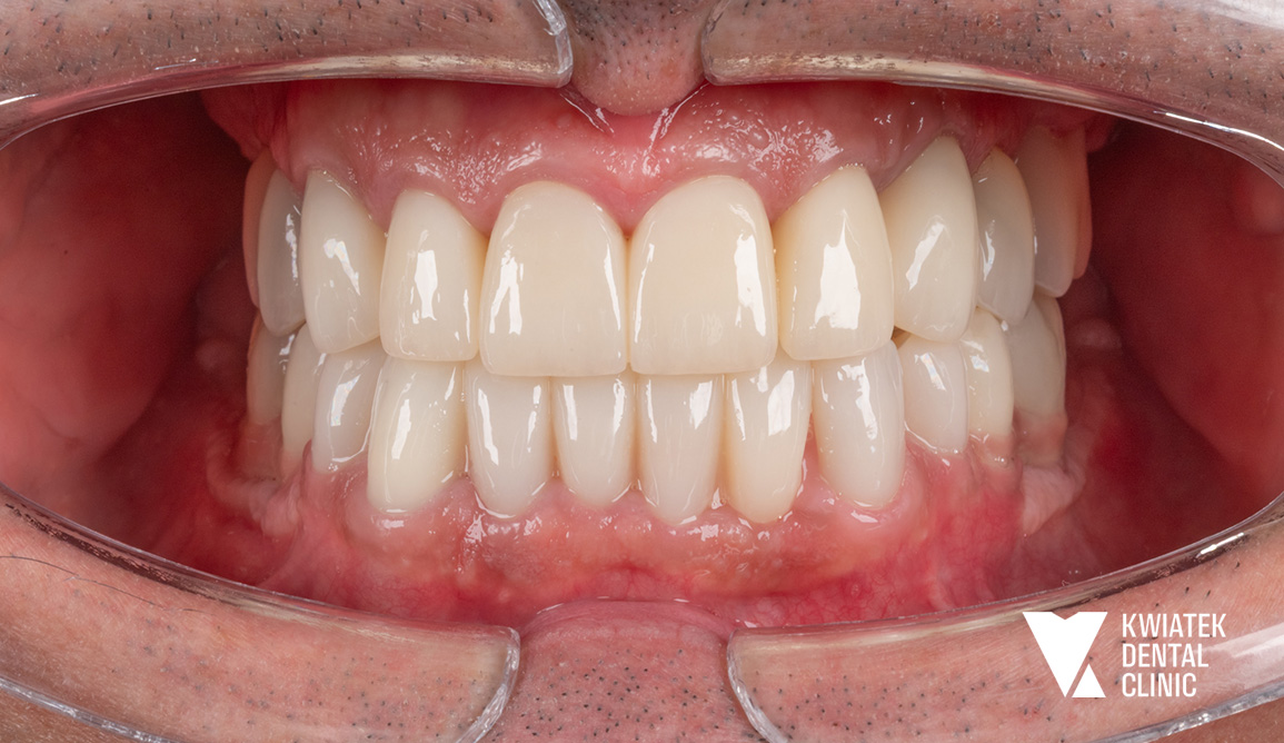
Precyzja, czas i plan - pełnołukowa metamorfoza funkcji i estetyki
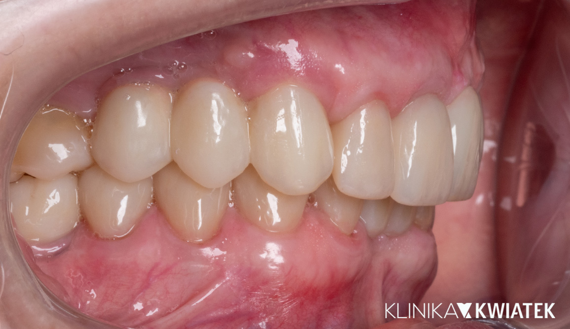
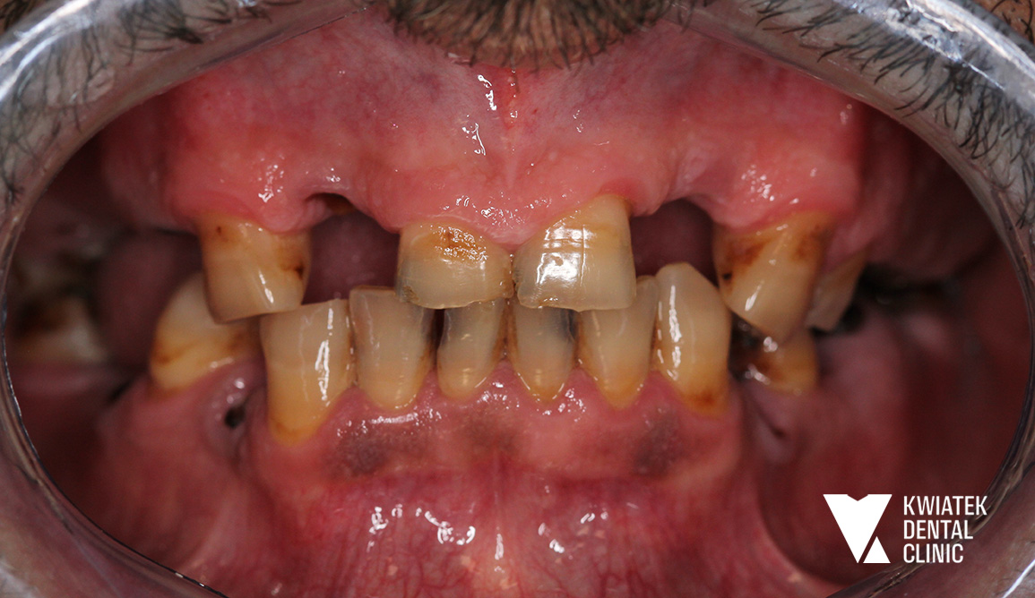
Pełna rekonstrukcja zwarcia i estetyki - historia wymagającej metamorfozy

Nåværende forskning

Sammenligning av behandlingsresultater ved bruk av standard implantasjon, implantasjon med helbredende skrue, PMMA midlertidig krone, kompositt midlertidig krone
Umiddelbar implantasjon med bruk av "Socket shield" -teknikk - 3-års observasjoner, PINK score etter 3 år
Panto Monitoring - cyfrowe wsparcie radiologicznej diagnostyki stomatologicznej oraz Get Smile - inteligentne planowanie leczenia stomatologicznego
Periimplantitt - behandling etter KK-standard - bruk av Airflow Prophylaxis Master, PRF-membran, endring av kobling til zirkonium
Sammenlignende studie av bruk av teknikk for rekonstruksjon av hele tannbuen ved hjelp av 4 og 6 implantater og permanent fylling - observasjoner etter 1,2,3,4,5 år

Dette sier pasientene våre om oss

Har du spørsmål?
Ønsker du å bestille en time?
Ring oss