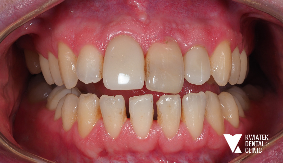
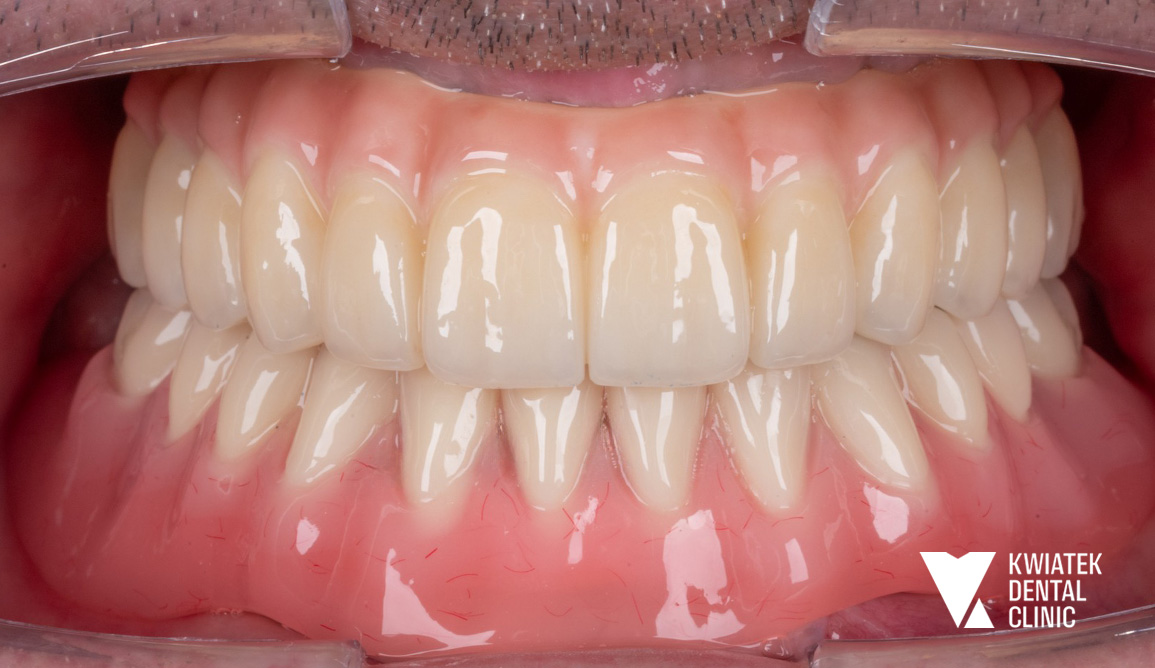
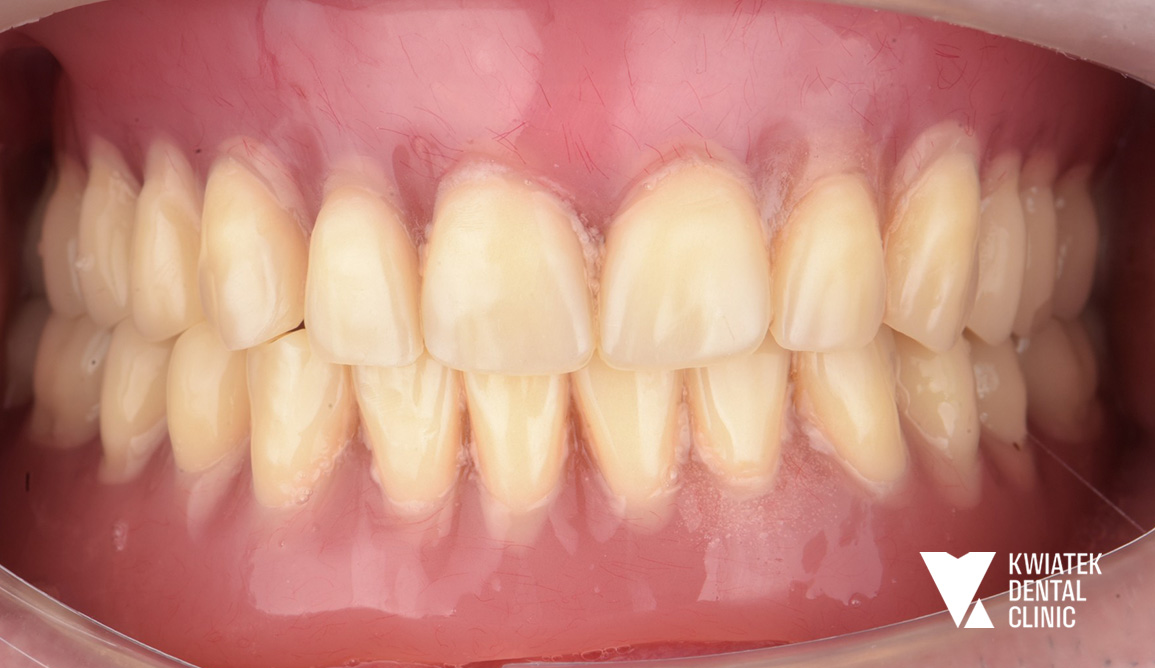
Wybrane metamorfozy

Nowość!
Od protez ruchomych do trwałych rozwiązań implantoprotetycznych
Nowość!
Metamorfoza wymagająca precyzji: ortodoncja, implanty i estetyka
Kilka specjalizacji, jeden cel. Perfekcyjnie zaplanowana metamorfoza uśmiechu
Naturalne piękno w pełnym wymiarze kobiecej metamorfozy

Nåværende forskning

Sammenligning av behandlingsresultater ved bruk av standard implantasjon, implantasjon med helbredende skrue, PMMA midlertidig krone, kompositt midlertidig krone
Periimplantitt - behandling etter KK-standard - bruk av Airflow Prophylaxis Master, PRF-membran, endring av kobling til zirkonium
Sammenlignende studie av bruk av teknikk for rekonstruksjon av hele tannbuen ved hjelp av 4 og 6 implantater og permanent fylling - observasjoner etter 1,2,3,4,5 år

Dette sier pasientene våre om oss

Har du spørsmål?
Ønsker du å bestille en time?
Ring oss