Nåværende forskning

Opracowanie technologii i narzędzia do bezpiecznego i skutecznego pobierania próbek kostnych, nawiercania otworów w kości oraz pobierania materiału kostnego do badania histopatologicznego.
Nivået av frykt og angst hos pasienter som søker tannhygienebesøk
Naturalne i nanostrukturalne komponenty w produktach stomatologicznych – od koncepcji do zastosowań klinicznych
Celowana terapia periimplantitis. Izolacja materiału genetycznego bakterii w poszukiwaniu źródła zakażeń okołowszczepowych.
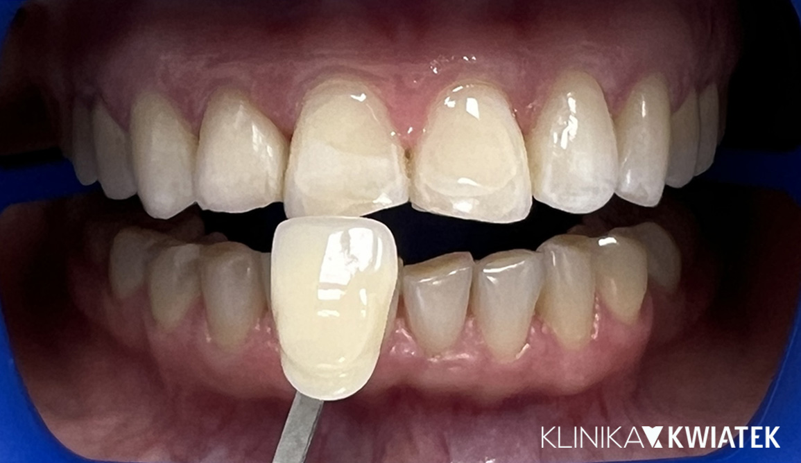
Skuteczność stomatologicznego oprogramowania AI w diagnozowaniu próchnicy: porównanie z wynikami badań stomatologicznych wykonanych przez lekarzy.
Wrodzony brak zawiązków zębów stałych jako wyzwanie współczesnej implantologii
Sammenligning av behandlingsresultater ved bruk av standard implantasjon, implantasjon med helbredende skrue, PMMA midlertidig krone, kompositt midlertidig krone
Umiddelbar implantasjon med bruk av "Socket shield" -teknikk - 3-års observasjoner, PINK score etter 3 år
Wsparcie leczenia implantologicznego i chirurgicznego z wykorzystaniem autorskiej aplikacji Klinika Kwiatek (Treat UP).
Panto Monitoring - cyfrowe wsparcie radiologicznej diagnostyki stomatologicznej oraz Get Smile - inteligentne planowanie leczenia stomatologicznego
Ocena wpływu stężenia 25-hydroksywitaminy D w surowicy na osteointegrację implantów zębowych
Przedoperacyjna diagnostyka laboratoryjna w praktyce chirurga stomatologicznego
Kontroll av utvalgte blodmorfologiparametere hos tannlegepasienter - som et øyeblikk av tidlig påvisning av systemiske sykdommer som muliggjør behandling i de tidlige stadiene av sykdommen
Sammenligning av effektiviteten av implantatplanlegging og den endelige posisjonen til implantatet ved bruk av en kirurgisk mal
Ustandardisert bruk av kirurgiske maler - for reseksjon, fjerning av implantater, løfting av bihuler
Gjenoppbygging av bein ved bruk av PTFE-membraner forsterket med titan-nett, festet direkte til implantatet
Periimplantitt - behandling etter KK-standard - bruk av Airflow Prophylaxis Master, PRF-membran, endring av kobling til zirkonium
Sammenlignende studie av bruk av teknikk for rekonstruksjon av hele tannbuen ved hjelp av 4 og 6 implantater og permanent fylling - observasjoner etter 1,2,3,4,5 år
Azytromycyna i inne substancje aktywne w nowoczesnej stomatologii zabiegowej – opracowanie systemu miejscowego uwalniania leku wspomagającego gojenie i prewencję infekcji po zabiegach chirurgicznych, periodontologicznych i implantologicznych

Dette sier pasientene våre om oss

Har du spørsmål?
Ønsker du å bestille en time?
Ring oss