Metamorfoza uśmiechu Pacjentki była procesem wymagającym precyzyjnego planowania, systematyczności oraz ścisłej współpracy na każdym etapie leczenia. Kluczowe znaczenie miało połączenie nowoczesnej ortodoncji z intensywną opieką higienizacyjną, co pozwoliło osiągnąć stabilny i estetyczny efekt końcowy.
Leczenie rozpoczęto od szczegółowej konsultacji ortodontycznej oraz pełnej diagnostyki obejmującej zdjęcie pantomograficzne, cefalometryczne oraz skan wewnątrzustny.
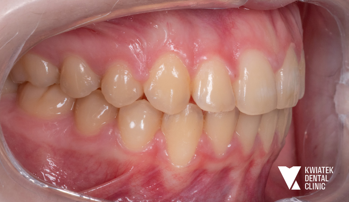
W badaniu stwierdzono:
Już na etapie diagnostyki wskazano konieczność leczenia interdyscyplinarnego obejmującego zarówno ortodoncję, jak i intensywną poprawę higieny jamy ustnej.
Na podstawie analizy klinicznej opracowano indywidualny plan leczenia ortodontycznego. Zdecydowano się na zastosowanie nowoczesnego aparatu samoligaturującego Damon Ultima, który umożliwia biologicznie łagodne i efektywne przemieszczanie zębów.
Przed rozpoczęciem właściwej terapii Pacjentka została skierowana na profesjonalną higienizację wraz z instruktażem higieny. Ze względu na obecność licznych złogów nazębnych, osadów oraz demineralizacji szkliwa, etap przygotowawczy miał kluczowe znaczenie dla bezpieczeństwa leczenia.
Leczenie rozpoczęto od założenia aparatu stałego Damon Ultima w łuku górnym i dolnym, z zastosowaniem łuków CuNiTi oraz różnych elementów wspomagających.
W kolejnych etapach leczenia:
Leczenie było wspierane przez system monitoringu cyfrowego, który umożliwiał bieżącą ocenę postępów i szybką reakcję na zmiany.
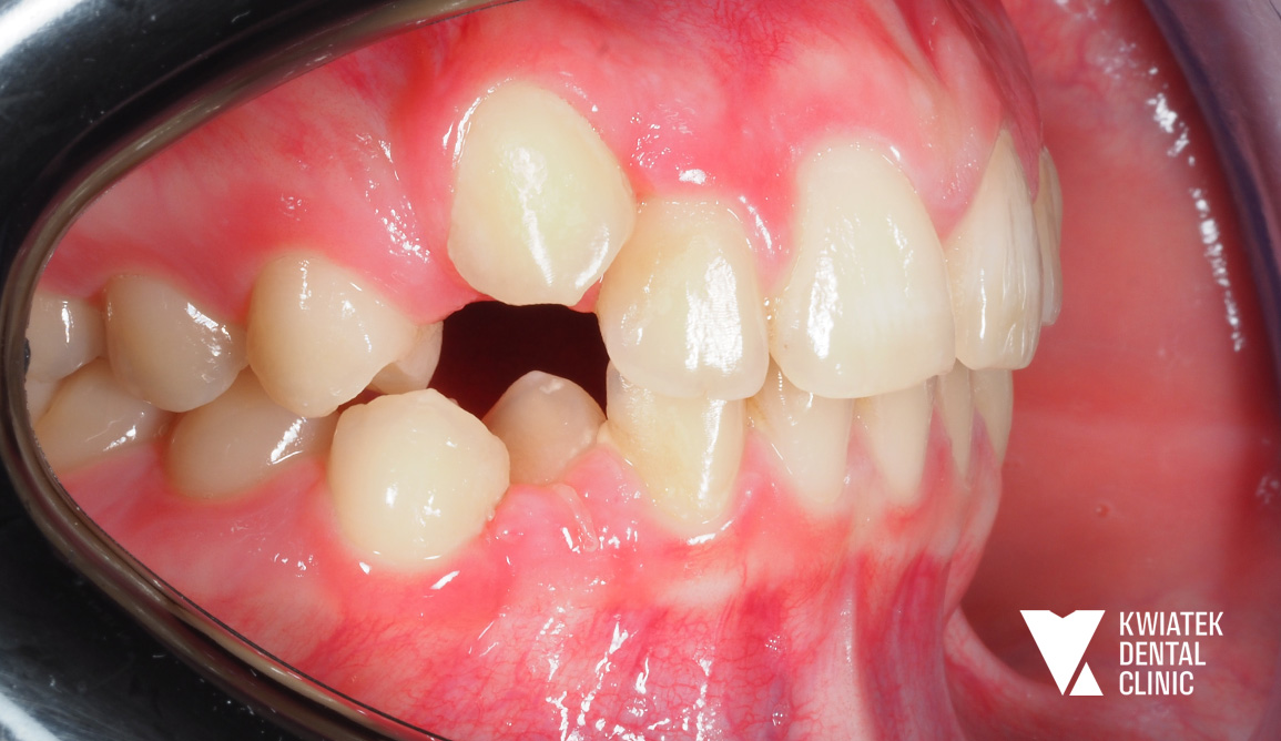
Istotnym wyzwaniem w trakcie terapii była utrzymująca się niewystarczająca higiena jamy ustnej. W trakcie wizyt wielokrotnie obserwowano obecność płytki bakteryjnej, kamienia nazębnego, krwawienia dziąseł oraz ogniska demineralizacji szkliwa. W związku z tym regularnie wykonywano profesjonalne zabiegi higienizacyjne, wdrażano protokoły profilaktyczne oraz prowadzono szczegółowy instruktaż higieny.
Pomimo okresowych trudności oraz przerw w wizytach kontrolnych, leczenie przebiegało zgodnie z założeniami i pozwoliło na osiągnięcie stabilnych efektów.
Po zakończeniu aktywnej fazy leczenia zdjęto aparat ortodontyczny oraz wdrożono etap retencji - retainer stały w łuku dolnym oraz retainery ruchome dla obu łuków.
Uzyskano:
Efekt końcowy to harmonijny, naturalny uśmiech oraz poprawa funkcji narządu żucia. Pacjentka pozostaje pod opieką kontrolną, a zastosowana retencja zapewnia trwałość uzyskanych rezultatów.
Egne og tredjeparters, for å gjøre det lettere for deg å bruke tjenesten og for å støtte markedsførings- og analytiske aktiviteter.