Nowoczesna, wieloetapowa ortodoncja bez ekstrakcji u młodego Pacjenta wsparta mikroimplantami

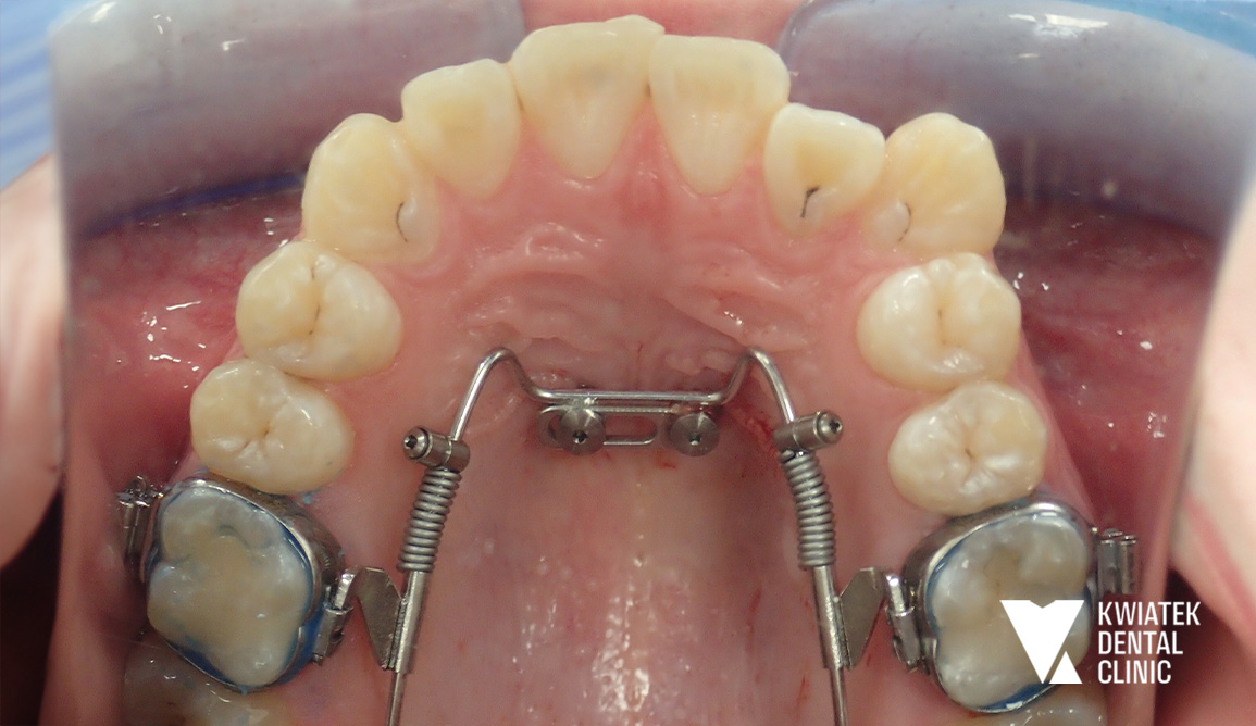
PRZED
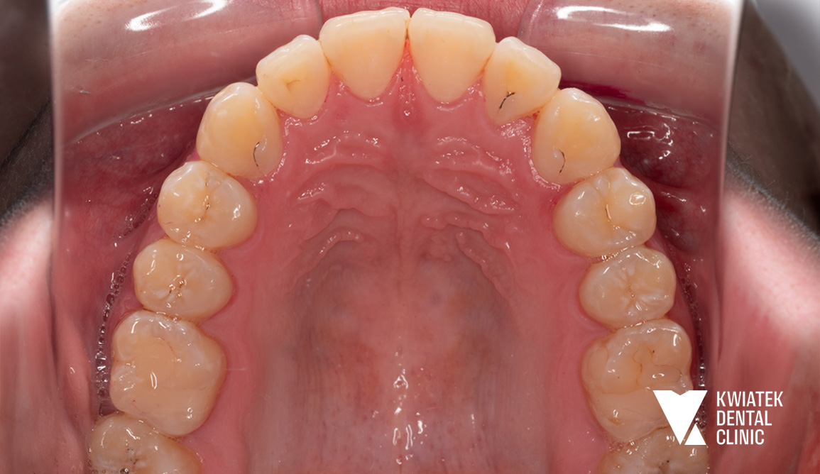
PO
PRZED
PO

Pacjent zgłosił się do kliniki na konsultację ortodontyczną wraz z rodzicami z powodu niezadowolenia z ustawienia zębów w odcinku przednim szczęki, szczególnie zęba 13. W wywiadzie odnotowano wcześniejsze leczenie ortodontyczne w dzieciństwie przy użyciu aparatu zdejmowanego typu płytka Schwarza, którego celem była korekta częściowego zgryzu krzyżowego przedniego oraz przywrócenie prawidłowego nagryzu poziomego. Leczenie to rozpoczęto około 10 roku życia i trwało około dwóch miesięcy. Dodatkowo w przeszłości zastosowano materiał na powierzchniach żujących zębów 36 i 46 w celu ich wtłoczenia. W wywiadzie stwierdzono również dysfunkcję języka potwierdzoną konsultacją logopedyczną.

Podczas pierwszej wizyty przeprowadzono pełną diagnostykę ortodontyczną obejmującą:

  • zdjęcie cefalometryczne cyfrowe

  • tomografię CBCT obu łuków zębowych

  • skan wewnątrzustny

  • dokumentację fotograficzną

  • analizę modeli diagnostycznych.

    Badanie kliniczne wykazało:

  • I klasę Angle’a po obu stronach

  • tendencję do kontaktu guzkowego na kłach po stronie prawej

  • zgryz krzyżowy zęba 12

  • znaczny deficyt miejsca dla zębów 12 i 13

  • wychylenie przedsionkowe zęba 13

  • płytki nagryz pionowy

Rodzicom Pacjenta szczególnie zależało na uniknięciu ekstrakcji pierwszych przedtrzonowców, dlatego plan leczenia został opracowany w taki sposób, aby stworzyć przestrzeń w łuku innymi metodami.

 

Leczenie zaplanowano jako wieloetapową terapię interdyscyplinarną obejmującą:

  1. przygotowanie higieniczne jamy ustnej i instruktaż higieny

  2. chirurgiczne usunięcie zawiązków zębów mądrości

  3. zastosowanie systemu ortodontycznego Beneslider opartego na miniimplantach podniebiennych

  4. leczenie aparatem stałym samoligaturującym

  5. korekty ortodontyczne i leczenie zachowawcze w trakcie terapii

  6. stabilizację efektów leczenia retencją.

Leczenie rozpoczęto od profesjonalnej higienizacji jamy ustnej. Podczas wizyty stwierdzono znaczne nagromadzenie płytki bakteryjnej oraz kamienia nazębnego w przestrzeniach międzyzębowych, dlatego przeprowadzono dokładny instruktaż higieny oraz zalecono odpowiednie preparaty remineralizujące. Następnie wykonano chirurgiczne usunięcie zębów mądrości. Kluczowym etapem terapii było zastosowanie systemu Beneslider. Na podniebieniu wprowadzono dwa miniimplanty ortodontyczne o wymiarach 2.0/11 mm w znieczuleniu nasiękowym. Na zębach 16 i 26 osadzono pierścienie, a następnie zamontowano aparat dystalizujący umożliwiający przesunięcie zębów trzonowych do tyłu i uzyskanie przestrzeni w łuku. Po uzyskaniu odpowiednich warunków przestrzennych rozpoczęto leczenie aparatem stałym cienkołukowym zamkami samoligaturującymi. Aparat założono w obu łukach zębowych, a Pacjent otrzymał szczegółowy instruktaż higieny oraz zestaw ortodontyczny do codziennej pielęgnacji. W kolejnych miesiącach regularnie wykonywano wizyty kontrolne, podczas których aktywowano aparat, stosowano łuki ortodontyczne o różnej sztywności oraz elementy dodatkowe. W trakcie leczenia przeprowadzono także leczenie zachowawcze z użyciem materiałów kompozytowych w koferdamie i pod kontrolą mikroskopu. Równolegle wykonywano okresowe higienizacje oraz kontrolowano stan jamy ustnej, aby utrzymać zdrowe środowisko podczas terapii ortodontycznej.

Po zakończeniu leczenia zdjęto aparaty stałe z obu łuków zębowych, oczyszczono powierzchnie zębów z pozostałości kleju i wykonano dokumentację fotograficzną efektów terapii. Dla utrwalenia osiągniętych rezultatów zastosowano retencję w postaci stałego retainera oraz retainerów ruchomych dla obu łuków zębowych

Uzyskano prawidłowe ustawienie zębów w łukach, korektę zgryzu krzyżowego, właściwą relację zgryzową oraz harmonijną estetykę uśmiechu. Metamorfoza pokazuje, jak dzięki dokładnej diagnostyce, nowoczesnym technikom ortodontycznym oraz konsekwentnemu prowadzeniu leczenia można osiągnąć stabilny i naturalny efekt bez konieczności usuwania zębów przedtrzonowych.

Powyższe zdjęcia mają charakter informacyjny i obrazują efekty leczenia stomatologicznego u jednego z pacjentów. Zakres terapii dobierany jest indywidualnie – rezultaty mogą się różnić w zależności od stanu zdrowia, diagnozy i planu leczenia.
Har du spørsmål?
Ønsker du å bestille en time?
Ring oss