Spektakularna metamorfoza zgryzu dzięki leczeniu ortodontycznemu wspomaganemu ortognatyką prowadzonemu przez naszych ekspertów

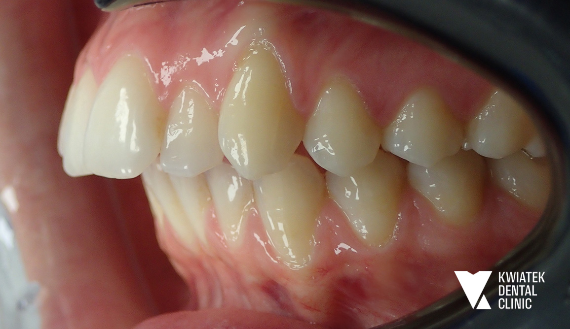
PRZED
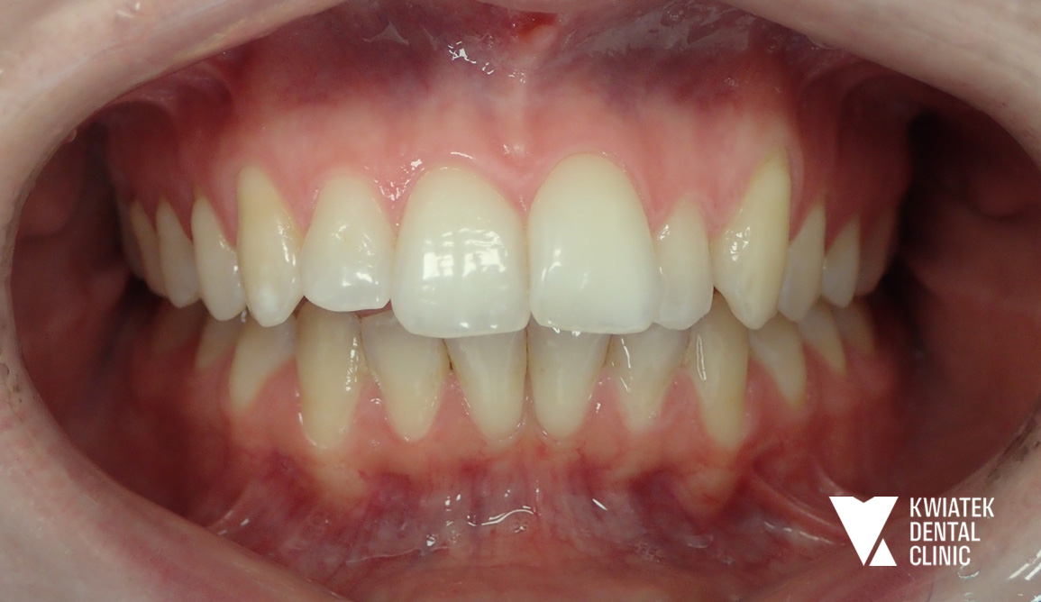
PO
PRZED
PO

Metamorfoza Pani Anastazji to przykład nowoczesnego leczenia, w którym kluczowe znaczenie ma precyzyjna diagnostyka oraz współpraca zespołu specjalistów. Pacjentka od lat zmagała się z wadą zgryzu, która nie została skutecznie skorygowana w dzieciństwie, co doprowadziło do utrwalenia nieprawidłowych relacji kostnych i funkcjonalnych.

Proces leczenia rozpoczęto od szczegółowej diagnostyki obejmującej tomografię CBCT, zdjęcia cefalometryczne, skany wewnątrzustne oraz analizę fotograficzną

Rozpoznano złożoną wadę obejmującą:

  • tyłożuchwie o charakterze morfologicznym
  • protruzję siekaczy szczęki i zwiększony nagryz poziomy
  • zgryz otwarty w odcinku przednim
  • stłoczenia i rotacje zębów w obu łukach
  • zaburzenia funkcjonalne: nieprawidłową pozycję języka, tor oddychania przez usta oraz nieprawidłowe połykanie

Diagnostyka została rozszerzona o konsultacje neurologopedyczne, fizjoterapeutyczne oraz chirurgiczne, co pozwoliło na zaplanowanie leczenia w sposób kompleksowy i przewidywalny.

Ze względu na złożoność przypadku opracowano wieloetapowy, interdyscyplinarny plan leczenia obejmujący:

  • przygotowanie higieniczne i eliminację czynników zapalnych
  • terapię neurologopedyczną przywracającą prawidłowe funkcje języka
  • wsparcie fizjoterapeutyczne układu stomatognatycznego
  • leczenie ortodontyczne z wykorzystaniem nowoczesnych aparatów stałych
  • zabiegi wspomagające i przyspieszające leczenie tj kortykotomie
  • zastosowanie miniimplantów ortodontycznych do precyzyjnej kontroli ruchów zębów
  • przygotowanie do leczenia chirurgicznego
  • zabieg ortognatyczny korygujący wadę szkieletową

 

 

Leczenie rozpoczęto od profesjonalnej higienizacji oraz szczegółowego instruktażu higieny, co pozwoliło stworzyć optymalne warunki do dalszej terapii. Następnie wdrożono terapię neurologopedyczną, dzięki której stopniowo przywrócono prawidłową funkcję języka oraz sposób połykania

Kolejnym etapem było leczenie ortodontyczne z zastosowaniem aparatów stałych samoligaturujących w obu łukach. W celu zwiększenia efektywności terapii wykonano zabiegi kortykotomii, które przyspieszyły ruchy zębów i umożliwiły bardziej kontrolowane leczenie.

W ramach przygotowania do leczenia właściwego usunięto zęby mądrości, eliminując potencjalne przeszkody w ustawianiu zębów. Następnie wprowadzono miniimplanty ortodontyczne, które pozwoliły na precyzyjne przesuwanie zębów i kontrolę ich pozycji w przestrzeni.

Leczenie było systematycznie monitorowane poprzez wizyty kontrolne, aktywację łuków ortodontycznych, stosowanie sprężyn oraz różnorakich technik  umożliwiających uzyskanie odpowiedniej ilości miejsca w łuku zębowym

Po zakończeniu etapu przygotowawczego przeprowadzono zabieg ortognatyczny BSSO (Bilateral Sagittal Split Osteotomy: obustronna strzałkowa osteotomia żuchwy), czyli operację polegającą na precyzyjnym przemieszczeniu żuchwy do jej prawidłowej pozycji. W trakcie zabiegu chirurg wykonuje kontrolowane rozdzielenie kości żuchwy, a następnie ustawia ją w optymalnym położeniu względem szczęki i stabilizuje. Dzięki temu możliwe było nie tylko uzyskanie prawidłowych relacji szkieletowych, ale również poprawa proporcji twarzy oraz funkcji całego układu żucia.

Efekt leczenia to kompleksowa transformacja zarówno funkcjonalna, jak i estetyczna:

  • uzyskanie prawidłowego, stabilnego zgryzu
  • eliminacja zgryzu otwartego oraz stłoczeń
  • wyraźna poprawa funkcji żucia i oddychania
  • harmonizacja rysów twarzy oraz znacząca poprawa profilu
  • przywrócenie prawidłowych funkcji mięśniowych i językowych

Metamorfoza Pani Anastazji to spektakularny przykład tego, jak zaawansowana wiedza, doświadczenie i precyzja naszych specjalistów w połączeniu z konsekwencją, determinacją oraz zaufaniem Pacjentki prowadzą do wyjątkowych rezultatów.

To nie tylko zmiana uśmiechu to pełna transformacja funkcji estetyki i jakości życia która przywraca komfort codziennego funkcjonowania i naturalną harmonię.

Powyższe zdjęcia mają charakter informacyjny i obrazują efekty leczenia stomatologicznego u jednego z pacjentów. Zakres terapii dobierany jest indywidualnie – rezultaty mogą się różnić w zależności od stanu zdrowia, diagnozy i planu leczenia.
Har du spørsmål?
Ønsker du å bestille en time?
Ring oss