Nåværende forskning

Langvarige observasjoner av effektiviteten av sinusløftprosedyren ved hjelp av hydrostatisk trykk med umiddelbar implantasjon.
Sammenligning av behandlingsresultater ved bruk av standard implantasjon, implantasjon med helbredende skrue, PMMA midlertidig krone, kompositt midlertidig krone
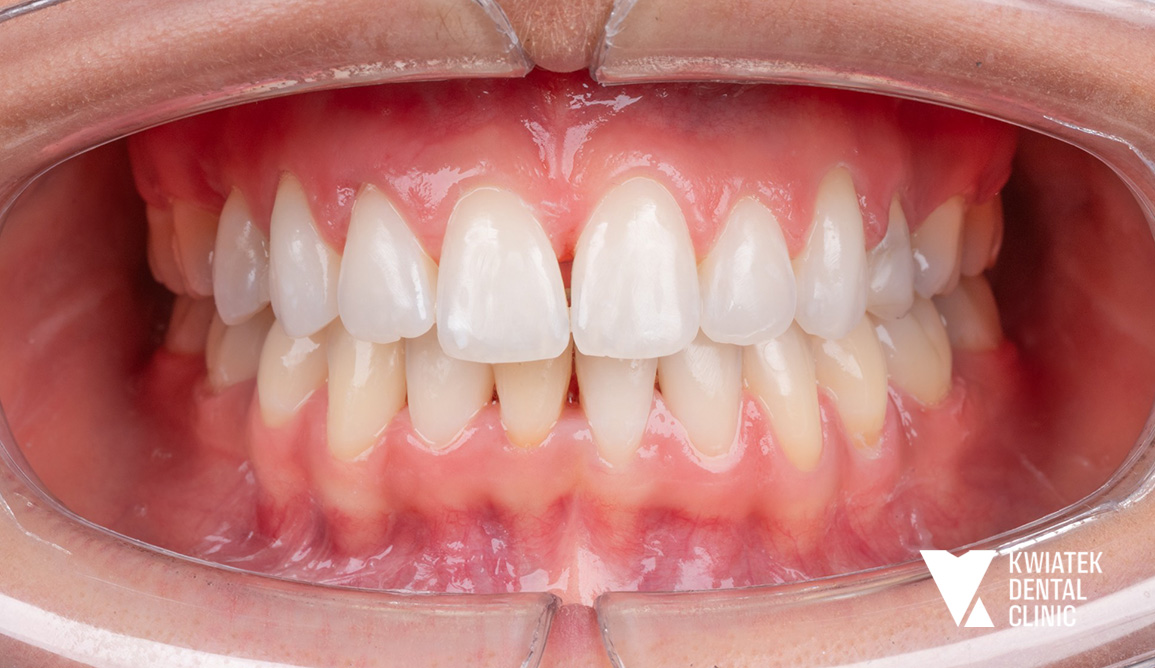
Umiddelbar implantasjon med bruk av "Socket shield" -teknikk - 3-års observasjoner, PINK score etter 3 år
Panto Monitoring - cyfrowe wsparcie radiologicznej diagnostyki stomatologicznej oraz Get Smile - inteligentne planowanie leczenia stomatologicznego
Ocena wpływu stężenia 25-hydroksywitaminy D w surowicy na osteointegrację implantów zębowych
Przedoperacyjna diagnostyka laboratoryjna w praktyce chirurga stomatologicznego
Kontroll av utvalgte blodmorfologiparametere hos tannlegepasienter - som et øyeblikk av tidlig påvisning av systemiske sykdommer som muliggjør behandling i de tidlige stadiene av sykdommen
Sammenligning av effektiviteten av implantatplanlegging og den endelige posisjonen til implantatet ved bruk av en kirurgisk mal
Ustandardisert bruk av kirurgiske maler - for reseksjon, fjerning av implantater, løfting av bihuler
Gjenoppbygging av bein ved bruk av PTFE-membraner forsterket med titan-nett, festet direkte til implantatet
Periimplantitt - behandling etter KK-standard - bruk av Airflow Prophylaxis Master, PRF-membran, endring av kobling til zirkonium
Sammenlignende studie av bruk av teknikk for rekonstruksjon av hele tannbuen ved hjelp av 4 og 6 implantater og permanent fylling - observasjoner etter 1,2,3,4,5 år

Dette sier pasientene våre om oss

Har du spørsmål?
Ønsker du å bestille en time?
Ring oss