Powrót komfortu żucia dzięki precyzyjnej odbudowie implantologicznej szóstek dolnych

PRZED
PO
PRZED
PO

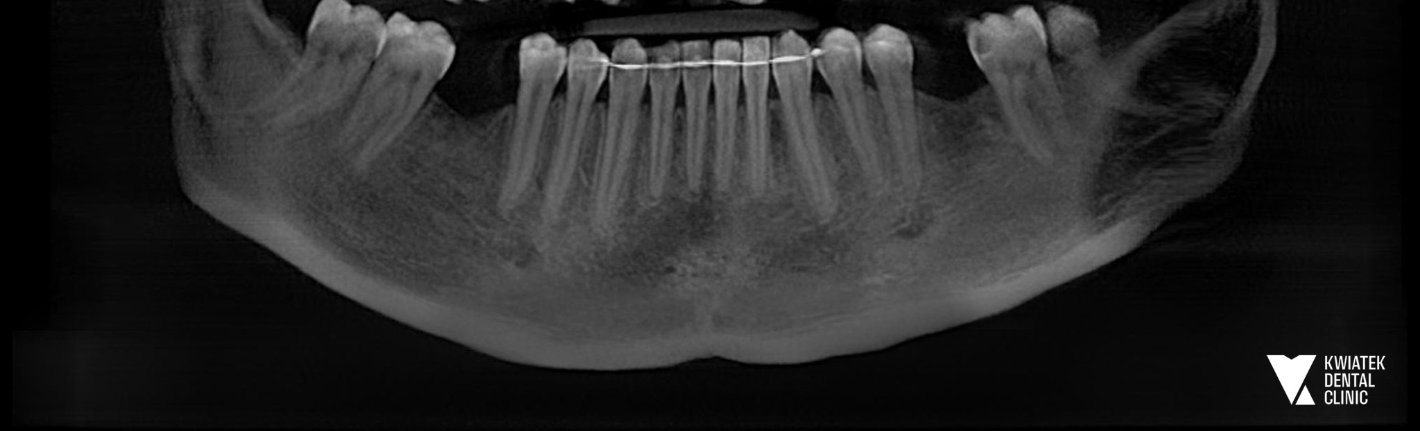
Pacjentka zgłosiła się do naszej kliniki z problemem braków zębowych w odcinkach bocznych żuchwy. Braki te dotyczyły pierwszych zębów trzonowych, czyli tzw. zębów szóstych. Warto podkreślić, że to właśnie one najczęściej są tracone jako pierwsze. Wynika to z faktu, że są pierwszymi stałymi zębami trzonowymi pojawiającymi się w jamie ustnej, zwykle już około szóstego roku życia, przez co przez wiele lat poddawane są największym obciążeniom podczas żucia.

Długotrwały brak zębów w tej okolicy może prowadzić do zaburzeń zgryzu, przeciążenia pozostałych zębów oraz stopniowej utraty kości. Dlatego tak ważne jest przywrócenie pełnej funkcji uzębienia w sposób trwały i biologicznie bezpieczny.

Proces leczenia rozpoczął się od szczegółowej diagnostyki stomatologicznej oraz analizy stanu jamy ustnej. Wykonano badania radiologiczne, dokumentację fotograficzną oraz skan wewnątrzustny, który umożliwił cyfrowe zaplanowanie leczenia implantologicznego.

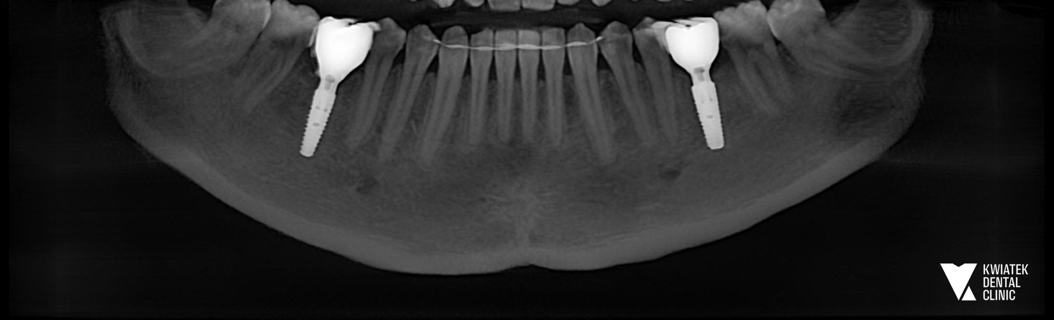
Na podstawie diagnostyki stwierdzono brak zębów 36 oraz 46 w żuchwie. Już wcześniej, podczas wcześniejszych wizyt, zaproponowano Pacjentce odbudowę tych braków przy użyciu implantów, jako najbardziej przewidywalnej i trwałej metody leczenia.

W celu zapewnienia maksymalnej precyzji zaplanowano zabieg z wykorzystaniem szablonu chirurgicznego przygotowanego na podstawie cyfrowych danych z jamy ustnej.

Plan leczenia obejmował kompleksowe postępowanie implantologiczne:

  • przygotowanie cyfrowego planu zabiegu

  • wykonanie skanu wewnątrzustnego

  • zaprojektowanie i przygotowanie szablonu chirurgicznego

  • wszczepienie implantów w miejscu utraconych zębów 36 oraz 46

  • augmentację kości z wykorzystaniem materiału kościozastępczego

  • okres osteointegracji implantów

  • wykonanie ostatecznych koron ceramicznych na implantach

Tak zaplanowane leczenie pozwalało na maksymalnie precyzyjne i bezpieczne przeprowadzenie całej procedury.

Zabieg implantologiczny został przeprowadzony zgodnie z wcześniej przygotowanym planem. W trakcie procedury zastosowano nowoczesny system implantologiczny MIS C1. W pierwszym etapie wykonano augmentację kości z wykorzystaniem materiału kościozastępczego Bio-Oss oraz kości własnej Pacjentki, co pozwoliło na optymalne przygotowanie podłoża kostnego pod implanty. Następnie wszczepiono dwa implanty w znieczuleniu miejscowym przy użyciu szablonu chirurgicznego, co zapewniło maksymalną precyzję pozycjonowania implantów. W trakcie zabiegu wykonano również śródzabiegową kontrolę radiologiczną RVG oraz badanie CBCT żuchwy. W tym przypadku po implantacji założono śruby gojące, a tkanki miękkie zabezpieczono szwami chirurgicznymi. Pacjentce przekazano szczegółowe zalecenia pozabiegowe oraz wdrożono odpowiednie leczenie farmakologiczne.

Po okresie osteointegracji przeprowadzono etap protetyczny. Wykonano cyfrowe skanowanie implantów z wykorzystaniem scanpostów oraz dobrano odpowiednie łączniki protetyczne typu Ti-base. Finalnym etapem leczenia było wykonanie i osadzenie pełnoceramicznych koron na implantach w miejscach zębów 36 oraz 46, które zostały precyzyjnie dokręcone i zabezpieczone materiałem kompozytowym.

Dzięki kompleksowemu leczeniu implantologicznemu Pacjentka odzyskała pełną funkcję żucia oraz komfort codziennego funkcjonowania. Odbudowane zęby trzonowe przywróciły prawidłowe warunki zgryzowe i równomierne rozłożenie sił podczas żucia.

Zastosowane korony ceramiczne zapewniają naturalną estetykę oraz wysoką trwałość rekonstrukcji. Regularne wizyty kontrolne pozwalają monitorować stabilność pracy protetycznej i utrzymać doskonały efekt leczenia przez wiele lat. Ta metamorfoza jest doskonałym przykładem tego, jak nowoczesna implantologia pozwala w sposób przewidywalny, bezpieczny i estetyczny odbudować utracone zęby oraz przywrócić Pacjentom komfort życia.

Powyższe zdjęcia mają charakter informacyjny i obrazują efekty leczenia stomatologicznego u jednego z pacjentów. Zakres terapii dobierany jest indywidualnie – rezultaty mogą się różnić w zależności od stanu zdrowia, diagnozy i planu leczenia.
Har du spørsmål?
Ønsker du å bestille en time?
Ring oss