Uszkodzone, starte lub osłabione zęby nie muszą oznaczać końca pięknego uśmiechu. Dzięki nowoczesnym technikom protetycznym możliwa jest estetyczna i trwała odbudowa przy użyciu koron. W tej sekcji prezentujemy efekty: korony zębów przed i po, zarówno przy pojedynczych rekonstrukcjach, jak i pełnych metamorfozach, w tym na implantach.
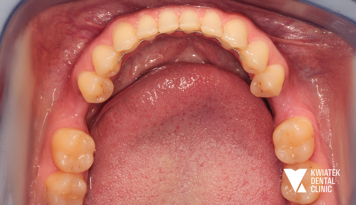
Pan Jakub zgłosił się do kliniki z wadą zgryzu oraz licznymi problemami wynikającymi z nieprawidłowego ustawienia zębów. Leczenie wymagało współpracy specjalistów z kilku dziedzin stomatologii, precyzyjnego planowania oraz konsekwentnej realizacji kolejnych etapów terapii.
Dzięki ogromnej determinacji Pacjenta, który pomimo dużej odległości regularnie przyjeżdżał na zaplanowane wizyty, możliwe było przeprowadzenie kompleksowego leczenia, którego efektem jest doskonale zbalansowany zgryz oraz spektakularna i w pełni naturalna metamorfoza uśmiechu.
Pani Izabela zgłosiła się do naszej kliniki po urazie, który pozbawił Ją nie tylko zęba w strefie uśmiechu, lecz także komfortu codziennego życia. Towarzysząca proteza ruchoma stanowiła rozwiązanie tymczasowe, obce, nienaturalne i nieestetyczne, dlatego Pacjentka poszukiwała metody trwałej oraz maksymalnie zbliżonej do naturalnego uzębienia. Jej celem było odzyskanie uśmiechu harmonijnego, subtelnego i w pełni dopasowanego do rysów twarzy, bez konieczności stosowania uzupełnień ruchomych. Dzięki kompleksowemu, wieloetapowemu leczeniu obejmującemu natychmiastową implantację, zaawansowaną chirurgię oraz pełną rehabilitację protetyczną całej jamy ustnej udało się przywrócić harmonię, funkcję i piękno, które wyglądają tak naturalnie, jakby nigdy nie zostały utracone.
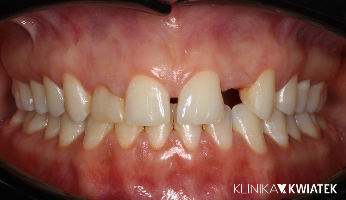
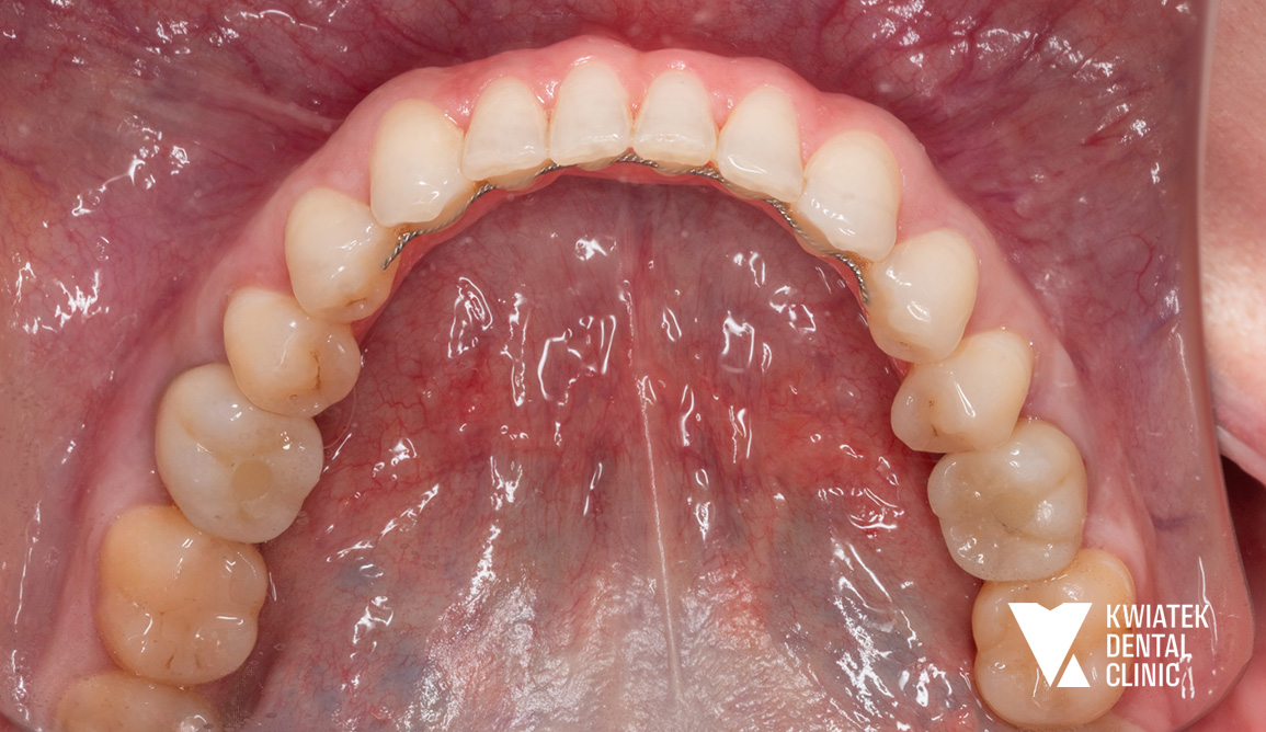
Do naszej kliniki zgłosiła się Pacjentka, która w przeszłości była już leczona ortodontycznie. Mimo wcześniejszego leczenia wciąż zmagała się z brakiem górnej dwójki oraz przesuniętą linią pośrodkową, co wpływało zarówno na estetykę uśmiechu, jak i na prawidłową funkcję zgryzu.
Postawiliśmy na kompleksowe podejście – połączyliśmy leczenie ortodontyczne, implantologiczne oraz protetyczne. Dzięki temu udało się uzyskać harmonijny, pełen blasku uśmiech oraz prawidłowe warunki zgryzowe.
Efekt końcowy? Naturalna estetyka, piękny uśmiech i komfort, który daje Pacjentce pełną satysfakcję.
Pani Ania zgłosiła się do naszej kliniki z wrodzonym brakiem zawiązków siekaczy bocznych, który od lat wpływał na proporcje uśmiechu i pewność siebie. Po utracie dotychczasowej pracy tymczasowej podjęła decyzję o trwałej metamorfozie. Zastosowano leczenie implantologiczne, cyfrowy projekt uśmiechu (DSD), koronę na implancie, licówki, zabiegi periodontologiczne oraz odbudowy w pełni cyfrowym protokole. Efekt? Naturalny, harmonijny uśmiech, który wydobył jej urodę i realnie zmienił jakość życia.
Pełna metamorfoza uśmiechu u Pacjenta, który dotąd korzystał z częściowej protezy. W łuku górnym wykonano odbudowę All-on-6, a dolny łuk zrekonstruowano za pomocą mostów na implantach i koron pełnoceramicznych. Efekt? Naturalny, stabilny uśmiech, który przywrócił pewność siebie i komfort na co dzień.
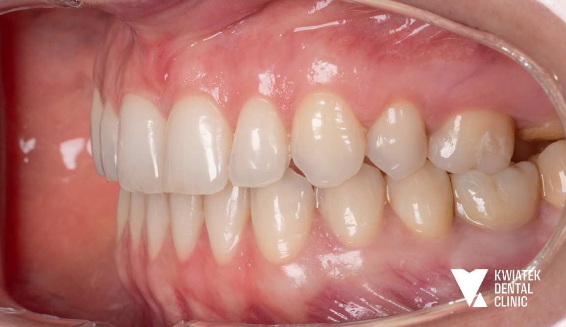
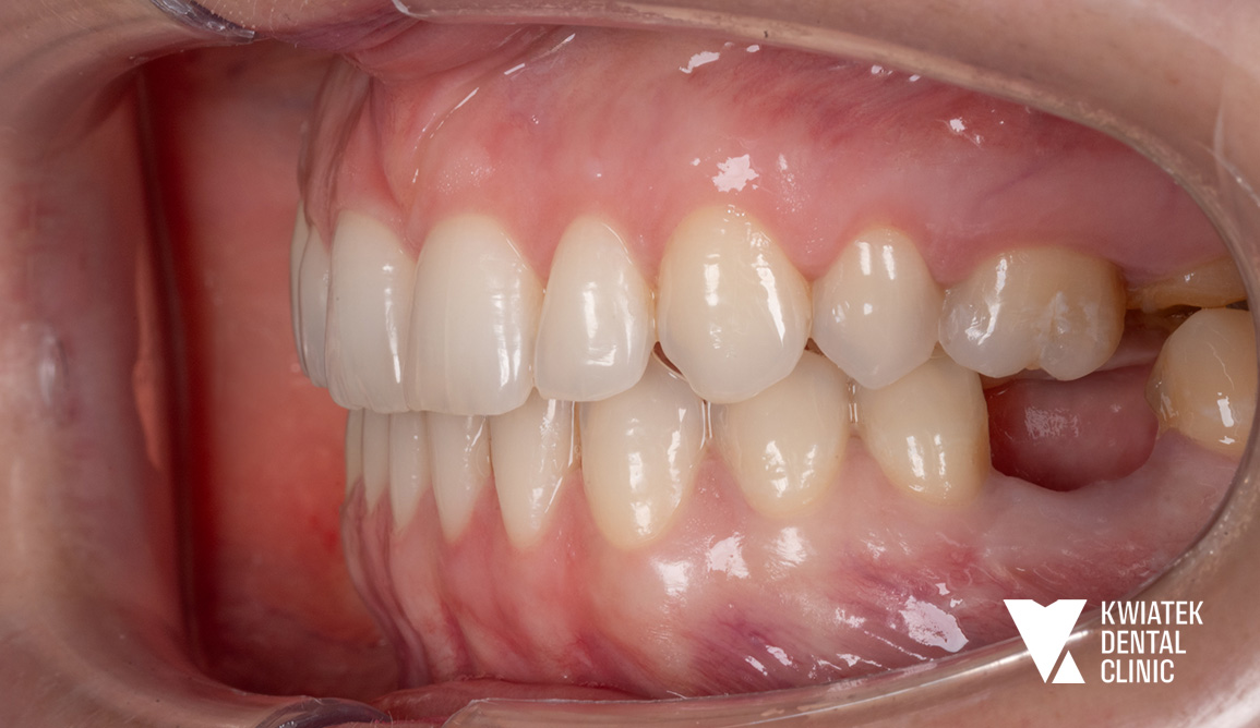
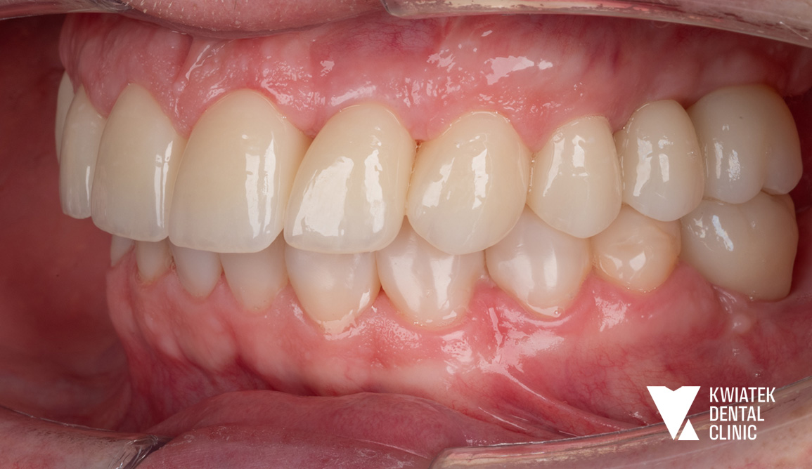
Nicolaas to nasz stały Pacjent – zawsze uśmiechnięty, serdeczny i niezwykle wdzięczny, a praca z nim to czysta przyjemność. Jednym z ważnych etapów jego kompleksowego leczenia okazał się problematyczny siekacz 11, który wyraźnie zaburzał harmonię jego uśmiechu i wymagał wyjątkowo precyzyjnej interwencji. Dzięki zaawansowanemu leczeniu pod mikroskopem oraz perfekcyjnie zaprojektowanej odbudowie protetycznej ten kluczowy ząb odzyskał swoją funkcję i naturalne piękno, a uśmiech Pacjenta znów prezentuje się harmonijnie i zdrowo.
Nasza Pacjentka, Pani Małgorzata, przez lata użytkowała protezę szkieletową górną, która nie zapewniała jej oczekiwanego komfortu ani estetyki. Leczenie zaplanowaliśmy w dwóch etapach – najpierw pełna odbudowa dolnego łuku na implantach, a następnie kompleksowa rekonstrukcja szczęki w systemie all-on-6. Dzięki temu Pacjentka mogła pożegnać się z protezą ruchomą i cieszyć się stabilnym, estetycznym oraz w pełni funkcjonalnym uśmiechem.
Pacjentka zgłosiła się do kliniki z brakami zębowymi w odcinkach bocznych żuchwy, obejmującymi pierwsze trzonowce. To właśnie zęby szóste najczęściej tracimy jako pierwsze, ponieważ są pierwszymi zębami trzonowymi pojawiającymi się w jamie ustnej i przez lata podlegają największym obciążeniom. Po szczegółowej diagnostyce zaplanowano leczenie implantologiczne, które pozwoliło przywrócić prawidłową funkcję żucia oraz estetykę uśmiechu.
Pacjentka zgłosiła się do naszej kliniki z silnym bólem zębów przednich oraz zaawansowanym stanem zapalnym w obrębie kości szczęki. Diagnostyka wykazała torbiel zębopochodną wymagającą leczenia chirurgicznego oraz liczne problemy stomatologiczne obejmujące zarówno zęby, jak i zgryz. Dzięki kompleksowemu leczeniu obejmującemu chirurgię, implantologię, leczenie zachowawcze, protetykę i estetyczną rekonstrukcję udało się przywrócić Pacjentce zdrowie jamy ustnej, prawidłową funkcję zgryzu oraz naturalną estetykę uśmiechu.
Pacjent zgłosił się z zaawansowaną destrukcją uzębienia, utratą zębów oraz poważnymi zaburzeniami funkcji żucia i estetyki twarzy. Wieloetapowe leczenie objęło kompleksową rehabilitację całej jamy ustnej od chirurgii i implantologii przez leczenie zachowawcze i endodontyczne po zaawansowaną protetykę i periodontologię. Efektem jest stabilne fizjologiczne zwarcie, zdrowe tkanki oraz naturalny harmonijny uśmiech, który całkowicie odmienił komfort życia Pacjenta.
Egne og tredjeparters, for å gjøre det lettere for deg å bruke tjenesten og for å støtte markedsførings- og analytiske aktiviteter.