Licówki to rozwiązanie, które w subtelny, a zarazem spektakularny sposób potrafi odmienić uśmiech. Dla wielu Pacjentów stanowią one klucz do większej pewności siebie i estetyki na najwyższym poziomie. Prezentowane poniżej zdjęcia metamorfoz „przed i po” ukazują realne efekty naszych prac – od delikatnych korekt po pełne transformacje uśmiechu.


PRZED
PO
PRZED
PO

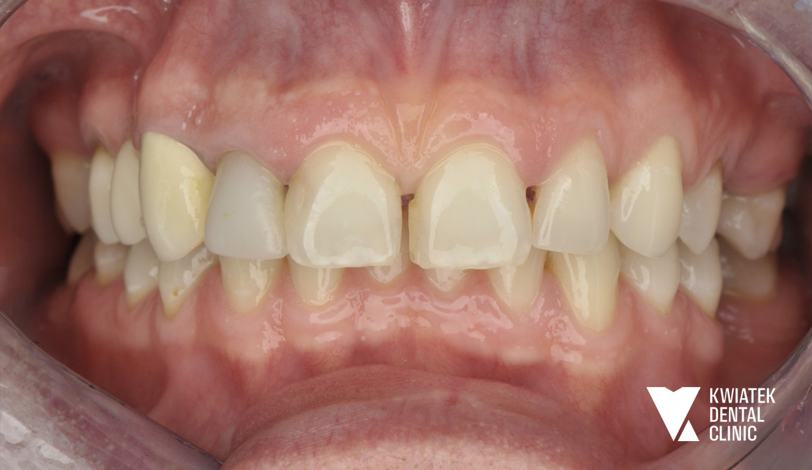
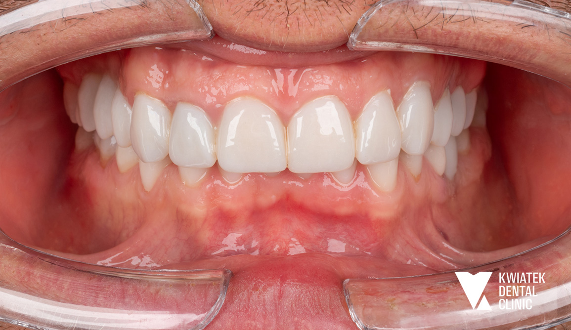
Licówki, implanty i cyfrowy projekt - precyzyjna odbudowa przy braku zawiązków zębów

Pani Ania zgłosiła się do naszej kliniki z wrodzonym brakiem zawiązków siekaczy bocznych, który od lat wpływał na proporcje uśmiechu i pewność siebie. Po utracie dotychczasowej pracy tymczasowej podjęła decyzję o trwałej metamorfozie. Zastosowano leczenie implantologiczne, cyfrowy projekt uśmiechu (DSD), koronę na implancie, licówki, zabiegi periodontologiczne oraz odbudowy w pełni cyfrowym protokole. Efekt? Naturalny, harmonijny uśmiech, który wydobył jej urodę i realnie zmienił jakość życia.

PRZED
PO
PRZED
PO

Gdy leczenie staje się sztuką: pełna rehabilitacja jamy ustnej

Do naszej kliniki zgłosił się Pacjent z wieloletnimi, narastającymi problemami stomatologicznymi, obejmującymi liczne ubytki próchnicowe, braki zębowe oraz zużyte, nieszczelne uzupełnienia protetyczne, które przestały spełniać swoją funkcję. Leczenie wymagało precyzyjnie zaplanowanej, wielomiesięcznej terapii obejmującej chirurgię, implantologię, endodoncję mikroskopową oraz rekonstrukcję protetyczną. Finalnie uzyskano stabilną funkcję, wysoką estetykę oraz fizjologiczne warunki pracy narządu żucia.

PRZED
PO
PRZED
PO

Pełna rekonstrukcja zwarcia i estetyki - historia wymagającej metamorfozy

Pacjent zgłosił się do kliniki z zaawansowanymi problemami stomatologicznymi: licznymi ubytkami próchnicowymi, brakami zębowymi, starciem zębów oraz zaburzeniami zwarcia. Leczenie obejmowało kompleksową diagnostykę, leczenie zachowawcze i endodontyczne, zabiegi chirurgiczne, implantację oraz wieloetapową odbudowę protetyczną. Efektem terapii jest perfekcyjnie zbalansowany zgryz, najwyższy komfort funkcjonowania oraz naturalnie piękny uśmiech, który podkreśla indywidualny charakter pacjenta i pozwala mu w pełni cieszyć się nim każdego dnia.

PRZED
PO
PRZED
PO

Subtelna metamorfoza uśmiechu - precyzja, estetyka, harmonia

Pacjentka zgłosiła się do kliniki z powodu zużytych, nieszczelnych licówek oraz narastającej nadwrażliwości zębów przednich. Po szczegółowej diagnostyce wdrożono indywidualny, kompleksowy plan leczenia obejmujący leczenie zachowawcze, chirurgiczne, endodontyczne i protetyczne. Efektem była pełna metamorfoza estetyczna oraz stworzenie eleganckiego, naturalnego i trwałego uśmiechu.

PRZED
PO
PRZED
PO

Precyzyjna implantologia w strefie estetycznej - metamorfoza górnych siekaczy

Pacjentka zgłosiła się do kliniki z powodu starych, nieszczelnych i ruchomych odbudów kompozytowych na górnych jedynkach, które powodowały znaczny dyskomfort estetyczny. Szczegółowa diagnostyka wykazała niestabilność wkładów koronowo-korzeniowych oraz nieodwracalną destrukcję tkanek twardych, kwalifikującą zęby 11 i 21 do ekstrakcji. Dzięki indywidualnie opracowanemu planowi leczenia możliwe było przeprowadzenie kompleksowej odbudowy implantologiczno-protetycznej, przywracającej naturalny wygląd, prawidłową funkcję oraz pełen komfort uśmiechu.

PRZED
PO
PRZED
PO

Historia zaufania i precyzji - nowoczesna protetyka w wymagającym przypadku klinicznym

Pacjentka zgłosiła się z wieloletnimi problemami stomatologicznymi, wadą zgryzu, resorpcją korzeni po wcześniejszych leczeniach ortodontycznych oraz licznymi ubytkami i stanami zapalnymi. Proces leczenia obejmował etapową sanację jamy ustnej, leczenie chirurgiczne, protetyczne i estetyczne, poprzedzone szczegółową diagnostyką i planowaniem cyfrowym. Efektem jest stabilny funkcjonalnie, zdrowy oraz naturalnie estetyczny uśmiech, dopasowany do indywidualnych warunków Pacjentki.

PRZED
PO
PRZED
PO

Interdyscyplinarna metamorfoza uśmiechu - precyzja implantologii i protetyki

Uśmiech naszej Pacjentki od dawna wymagał kompleksowej odbudowy zarówno pod względem zdrowotnym, jak i estetycznym. Braki zębowe, zanik kości oraz nieprawidłowe proporcje w odcinku przednim wpływały na funkcję żucia, codzienne samopoczucie oraz swobodę w relacjach i wizerunku. Dzięki precyzyjnie zaplanowanemu, wieloetapowemu leczeniu łączącemu implantologię, chirurgię, protetykę i stomatologię estetyczną możliwe było osiągnięcie trwałego, naturalnego i harmonijnego efektu.

PRZED
PO
PRZED
PO

Rehabilitacja zgryzu i odbudowa braków - pełna ścieżka terapeutyczna Pacjenta

Pacjent zgłosił się z bardzo złym stanem higieny, licznymi ubytkami, zmianami okołowierzchołkowymi oraz rozległymi brakami zębowymi, które uniemożliwiały prawidłowe funkcjonowanie i estetykę uśmiechu. Rozpoczęto od sanacji jamy ustnej, leczenia zachowawczego i endodontycznego, a następnie przeprowadzono ekstrakcje, leczenie ortodontyczne, implantologiczne oraz kompleksową odbudowę protetyczną. Zakończone leczenie pozwoliło przywrócić pełną funkcję żucia, stabilny zgryz i estetyczny, harmonijny uśmiech.

PRZED
PO
PRZED
PO

Odbudowa estetyczna za pomocą koron, koron na implantach i licówek

Nasza Pacjentka marzyła o harmonijnym, jasnym uśmiechu – bez braków, asymetrii czy kompromisów estetycznych. Po zakończeniu leczenia ortodontycznego zdecydowała się na kompleksową metamorfozę: odbudowę brakujących zębów za pomocą koron na implantach, przeszczep dziąsła (FGG), wybielanie oraz bonding dolnych zębów techniką flow injection.

W trakcie leczenia korzystała także z fizjoterapii stomatologicznej, co pomogło zoptymalizować pracę stawów skroniowo-żuchwowych i mięśni żucia.

Efekt? Spójny, naturalny uśmiech, który nie tylko spełnił jej marzenie, ale też podkreślił rysy twarzy.

Regularne higienizacje i kontrole to klucz, który pozwoli utrzymać ten efekt na lata.

PRZED
PO

Odbudowa estetyczna - na zębach własnych i implantach

Pacjentka zgłosiła się z rozległymi brakami zębowymi oraz nieszczelnymi, nieestetycznymi pracami protetycznymi, które nie spełniały już swojej funkcji. Zależało jej na kompleksowej poprawie wyglądu uśmiechu, ale także na przywróceniu prawidłowej funkcji żucia i komfortu.

Zaplanowano wieloetapowe leczenie implantoprotetyczne, koncentrujące się na odbudowie braków oraz stabilizacji zwarcia. W trakcie terapii wykonano korony na implantach, pełnoceramiczne korony na zębach własnych oraz licówki ceramiczne – wszystko po to, by uzyskać naturalny efekt i funkcjonalną równowagę na długie lata.

Har du spørsmål?
Ønsker du å bestille en time?
Ring oss