PRZED
PO
PRZED
PO

Kilka specjalizacji, jeden cel. Perfekcyjnie zaplanowana metamorfoza uśmiechu

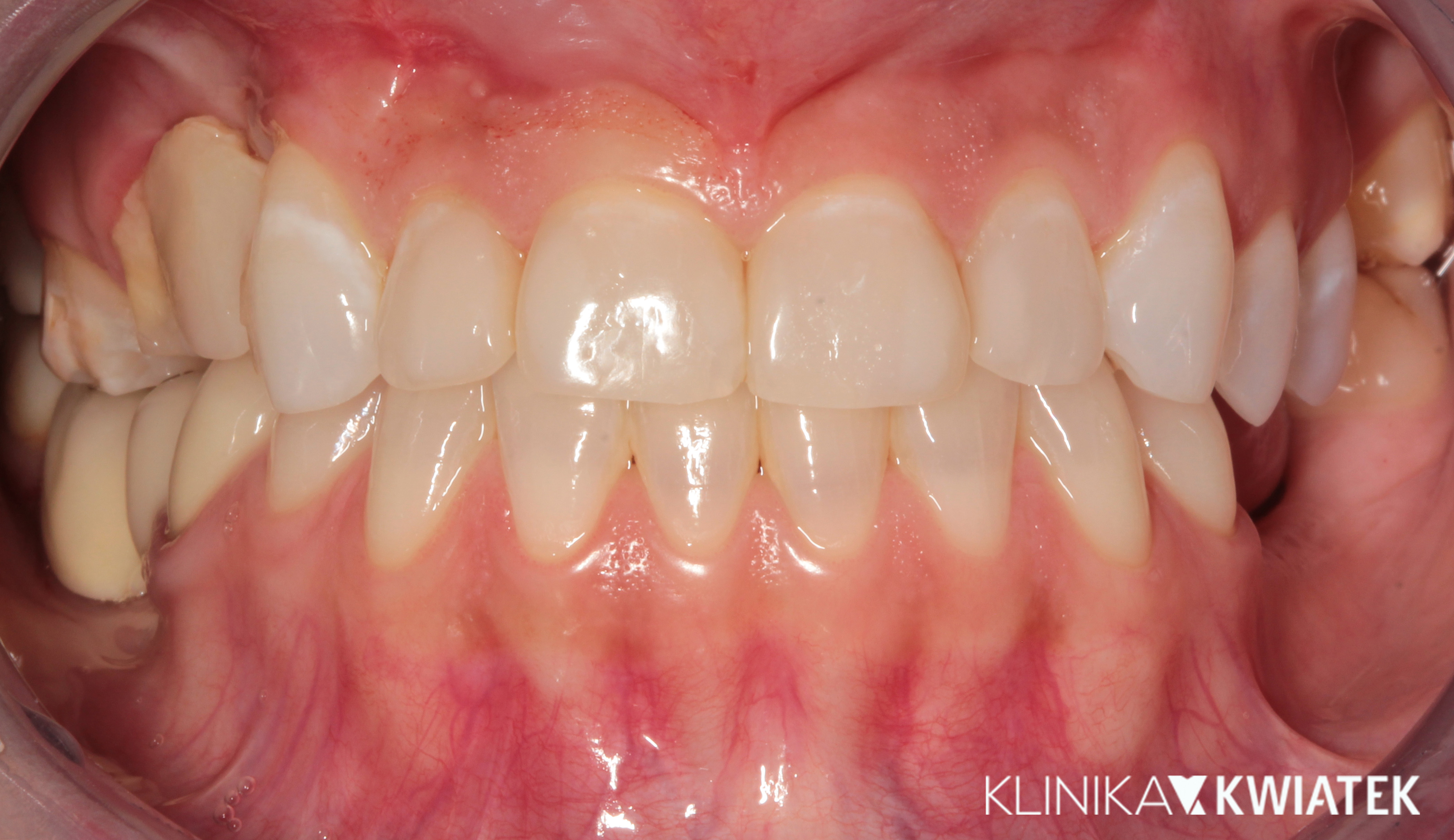
Pan Jakub zgłosił się do kliniki z wadą zgryzu oraz licznymi problemami wynikającymi z nieprawidłowego ustawienia zębów. Leczenie wymagało współpracy specjalistów z kilku dziedzin stomatologii, precyzyjnego planowania oraz konsekwentnej realizacji kolejnych etapów terapii.

Dzięki ogromnej determinacji Pacjenta, który pomimo dużej odległości regularnie przyjeżdżał na zaplanowane wizyty, możliwe było przeprowadzenie kompleksowego leczenia, którego efektem jest doskonale zbalansowany zgryz oraz spektakularna i w pełni naturalna metamorfoza uśmiechu.

PRZED
PO
PRZED
PO

Luksusowa rehabilitacja uśmiechu w standardzie Kwiatek Dental Clinic

Pacjent zgłosił się z zaawansowaną destrukcją uzębienia, utratą zębów oraz poważnymi zaburzeniami funkcji żucia i estetyki twarzy. Wieloetapowe leczenie objęło kompleksową rehabilitację całej jamy ustnej od chirurgii i implantologii przez leczenie zachowawcze i endodontyczne po zaawansowaną protetykę i periodontologię. Efektem jest stabilne fizjologiczne zwarcie, zdrowe tkanki oraz naturalny harmonijny uśmiech, który całkowicie odmienił komfort życia Pacjenta.

PRZED
PO
PRZED
PO

Architektura uśmiechu - pełna rekonstrukcja w standardzie premium

Nie każda metamorfoza zaczyna się od estetyki. Czasem zaczyna się od utraty wysokości zwarcia, napięcia mięśni i uśmiechu, który przestaje być naturalny.

Pacjent zgłosił się z nasilonym starciem zębów, zaciskaniem oraz odwróconą linią uśmiechu. Towarzyszyły temu rozległe ubytki  próchnicowe i zęby wymagające ponownego leczenia kanałowego. Zaprojektowaliśmy kompleksową, interdyscyplinarną rehabilitację jamy ustnej - od leczenia zachowawczego i chirurgii periodontologicznej, przez nawigowaną implantologię, po pełną odbudowę protetyczną.

Efekt to stabilne zwarcie, harmonijna linia dziąseł i naturalna, pełnoceramiczna estetyka. Nie korekta. Precyzyjna rekonstrukcja.

PRZED
PO
PRZED
PO

Uśmiech bez kompromisów - kompleksowe leczenie w standardzie premium

Pacjentka zgłosiła się do kliniki z nawracającymi stanami zapalnymi dziąseł, zaawansowanym zanikiem kości oraz brakami zębowymi. Po kompleksowej diagnostyce wdrożono wieloetapowe leczenie obejmujące zabiegi periodontologiczne, implantologiczne, ortodontyczne i protetyczne. Efektem terapii jest stabilny zgryz, zdrowe przyzębie oraz estetyczna, trwała odbudowa uśmiechu.

PRZED
PO
PRZED
PO

Historia zaufania i precyzji - nowoczesna protetyka w wymagającym przypadku klinicznym

Pacjentka zgłosiła się z wieloletnimi problemami stomatologicznymi, wadą zgryzu, resorpcją korzeni po wcześniejszych leczeniach ortodontycznych oraz licznymi ubytkami i stanami zapalnymi. Proces leczenia obejmował etapową sanację jamy ustnej, leczenie chirurgiczne, protetyczne i estetyczne, poprzedzone szczegółową diagnostyką i planowaniem cyfrowym. Efektem jest stabilny funkcjonalnie, zdrowy oraz naturalnie estetyczny uśmiech, dopasowany do indywidualnych warunków Pacjentki.

PRZED
PO
PRZED
PO

Interdyscyplinarna metamorfoza uśmiechu - precyzja implantologii i protetyki

Uśmiech naszej Pacjentki od dawna wymagał kompleksowej odbudowy zarówno pod względem zdrowotnym, jak i estetycznym. Braki zębowe, zanik kości oraz nieprawidłowe proporcje w odcinku przednim wpływały na funkcję żucia, codzienne samopoczucie oraz swobodę w relacjach i wizerunku. Dzięki precyzyjnie zaplanowanemu, wieloetapowemu leczeniu łączącemu implantologię, chirurgię, protetykę i stomatologię estetyczną możliwe było osiągnięcie trwałego, naturalnego i harmonijnego efektu.

PRZED
PO
PRZED
PO

Nowy uśmiech. Nowy rozdział - od planu do perfekcji.

Pacjentka zgłosiła się do naszej kliniki w momencie, gdy uśmiech przestał być źródłem radości, a stał się codziennym ograniczeniem. Liczne braki zębowe, zaawansowana choroba przyzębia oraz zaburzona funkcja żucia wymagały kompleksowego i precyzyjnie zaplanowanego leczenia. Dzięki diagnostyce 3D, nowoczesnej implantologii, regeneracji tkanek i pełnej odbudowie protetycznej udało się nie tylko przywrócić estetykę uśmiechu, ale przede wszystkim komfort, pewność siebie i naturalną swobodę życia.

PRZED
PO
PRZED
PO

Gdy ząb nie daje szans - ekstrakcja, implantacja i perfekcyjna korona 21

Pacjent zgłosił się z bolesnym stanem zapalnym i ruchomością lewej górnej jedynki, któremu towarzyszył znaczny ubytek kości i przemieszczenie zęba. Po pełnej diagnostyce wykonano natychmiastową implantację nawigowaną szablonem chirurgicznym z augmentacją kości, oraz z przeszczepem tkanek. Rekonstrukcję zakończyło osadzenie estetycznej korony pełnoceramicznej, przywracając Pacjentowi komfort i naturalny uśmiech.

PRZED
PO
PRZED
PO

Spektakularna odbudowa uśmiechu: zaawansowana regeneracja tkanek i perfekcyjna estetyka protetyczna

Pan Jakub zgłosił się do naszej kliniki z wieloletnim problemem dotyczącym zęba 21, obejmującym znaczne uszkodzenie kości i nieszczelną starą koronę. Po pełnej diagnostyce przeprowadzono zaawansowaną regenerację tkanek oraz kompleksowe leczenie protetyczne, zakończone wykonaniem licówki 11 i pełnoceramicznej korony 21. Efekt końcowy to zdrowe przyzębie, stabilna odbudowa i estetyczny, naturalny uśmiech.

PRZED
PO
PRZED
PO

Jak odbudować uśmiech przy braku zawiązków? Kompleksowy przypadek chirurgiczno-protetyczny

Pacjentka zgłosiła się z brakami zębowymi, w tym brakami zębów bocznych, brakiem zawiązka prawej górnej trójki oraz zatrzymanym zębem 23, co zaburzało estetykę uśmiechu i prawidłową funkcję zgryzu. Kompleksowe leczenie obejmowało implantację, regeneracje kości, re-endodoncję, korektę tkanek miękkich oraz pełną rekonstrukcję protetyczną. Ostatecznie uzyskano stabilny, funkcjonalny i estetyczny uśmiech, który w pełni kompensuje wrodzone braki zębowe.

Har du spørsmål?
Ønsker du å bestille en time?
Ring oss