Uszkodzone, starte lub osłabione zęby nie muszą oznaczać końca pięknego uśmiechu. Dzięki nowoczesnym technikom protetycznym możliwa jest estetyczna i trwała odbudowa przy użyciu koron. W tej sekcji prezentujemy efekty: korony zębów przed i po, zarówno przy pojedynczych rekonstrukcjach, jak i pełnych metamorfozach, w tym na implantach.


PRZED
PO
PRZED
PO

Kompleksowa metamorfoza- od utraconych zębów do zdrowego uśmiechu !

Pan Rafał zgłosił się do nas z poważnymi problemami stomatologicznymi– brakami w uzębieniu, zmianami próchnicowymi oraz trudnościami w żuciu. Dzięki kompleksowej diagnostyce i wieloetapowemu leczeniu implantologiczno-protetycznemu udało się odbudować brakujące zęby, przywrócić prawidłowy zgryz oraz poprawić estetykę uśmiechu. Efekt końcowy to naturalny, zdrowy uśmiech oraz pełen komfort funkcjonalny.

PRZED
PO
PRZED
PO

Wielospecjalistyczna droga do pięknego i zdrowego uśmiechu!

Pacjentka zgłosiła się z rozległymi problemami – liczne wypełnienia wymagające wymiany, utracone zęby boczne, nieszczelne korony oraz stłoczenia w odcinku przednimLeczenie wymagało etapów zachowawczych, endodontycznych, ortodontycznych, a także implantologii i protetyki estetycznej. Efekt końcowy to zdrowe, prawidłowo ustawione zęby i harmonijny, naturalny uśmiech.

PRZED
PO
PRZED
PO

Kobiecy uśmiech w pełnej harmonii-historia metamorfozy naszej Pacjentki!

Pacjentka zgłosiła się z problemami związanymi ze starymi pracami protetycznymi, recesją dziąseł, bólem oraz brakami zębowymi. Wdrożono kompleksowy plan leczenia obejmujący diagnostykę obrazową, leczenie endodontyczne, ekstrakcje, implantacje, przeszczepy dziąseł, wydłużenie koron klinicznych oraz nowoczesną protetykę cyfrową. Efektem jest zdrowy, stabilny i estetyczny uśmiech, przywrócona funkcja żucia i komfort życia.

PRZED
PO
PRZED
PO

Zaawansowana metamorfoza stomatologiczna – efekt współpracy zespołu ekspertów - jeden cel – piękny i zdrowy uśmiech!

Pacjentka zgłosiła się do naszej kliniki z licznymi problemami stomatologicznymi – stłoczeniem, brakami zębowymi, zatrzymanym kłem, przetrwałymi zębami mlecznymi i koniecznością wymiany wielu wypełnień. W ciągu kilkudziesięciu miesięcy przeszła leczenie ortodontyczne, zabiegi chirurgiczne,zabiegi periodontologiczne, implantacje, protetykę i estetyczną odbudowę uśmiechu. Dziś cieszy się zdrowym i pięknym uśmiechem, który jest efektem współpracy  zespołu ekspertów.

PRZED
PO
PRZED
PO

Uśmiech bez kompromisów – kompleksowe leczenie stomatologiczne

Pacjentka zgłosiła się z powodu startych zębów, braków w uzębieniu i nieprawidłowego zgryzu, które powodowały zarówno problemy funkcjonalne, jak i estetyczne. Leczenie obejmowało etap ortodontyczny z nakładkami Spark, zabiegi implantologiczne i chirurgiczne, a także kompleksową odbudowę protetyczną. Rezultatem jest zdrowy, stabilny i estetyczny uśmiech, przywracający komfort codziennego życia.

PRZED
PO
PRZED
PO

Kompleksowa rehabilitacja stomatologiczna z odtworzeniem zwarcia i estetyki – leczenie protetyczno-zachowawcze Pacjenta z zaawansowanym starciem zębów i rozległymi ubytkami!

Pan Mateusz zgłosił się do naszej kliniki z nasilonymi starciami powierzchni zębów, licznymi ubytkami próchnicowymi oraz nieprawidłowym zwarciem wynikającym z wieloletniego bruksizmu i zaniedbań higienicznych.
Realizowano wieloetapowy proces obejmujący intensywną higienizację, kompleksowe leczenie zachowawcze, plastykę tkanek miękkich i zaawansowane odbudowy protetyczne z wykorzystaniem koron pełnoceramicznych CAD/CAM.
Uzyskano harmonijną rekonstrukcję zwarcia i estetyki, znacząco podnosząc komfort życia Pacjenta  stabilizując stan zdrowia jamy ustnej

PRZED
PO
PRZED
PO

Uśmiech dopasowany do stylu życia — korony, licówki, implant — kompleksowa odbudowa funkcji i estetyki!

Pacjent, aktywny zawodowo i często podróżujący, potrzebował kompleksowego, a zarazem elastycznego leczenia. Liczne problemy protetyczne i zachowawcze  wymagały ścisłej współpracy wielu specjalistów. Dzięki precyzyjnemu planowi i nowoczesnym technologiom, odzyskał pełną funkcjonalność oraz naturalny uśmiech — gotowy na każde wyzwanie.

PRZED
PO

Pełna funkcja, naturalna estetyka – implanty, korony – odbudowa lewej strony żuchwy

Nasza Pacjentka przeszła kompleksową metamorfozę – od usunięcia zębów i augmentacji kości, przez implantację i odbudowę protetyczną, po higienizację i wybielanie. Szczególny nacisk położono na lewą stronę żuchwy, gdzie wykonano augmentację i wszczepiono implanty 34 i 36. Efekt końcowy to zdrowy, estetyczny uśmiech i pełna funkcjonalność.

PRZED
PO
PRZED
PO

Kompleksowa metamorfoza uśmiechu – interdyscyplinarne leczenie pozwala osiągnąć doskonały efekt funkcjonalny i estetyczny!

Do naszej kliniki zgłosiła się Pacjentka z zaawansowanymi problemami zgryzowymi, brakami zębowymi i licznymi wypełnieniami wymagającymi wymiany. Po dokładnej diagnostyce wdrożono wieloetapowy plan leczenia obejmujący leczenie nakładkami ortodontycznymi, implanty w odcinkach bocznych oraz odbudowę estetyczną zębów przednich.

Finalnym etapem było wybielanie i precyzyjne dopracowanie uśmiechu, co pozwoliło osiągnąć doskonały efekt funkcjonalny i estetyczny.

PRZED
PO
PRZED
PO

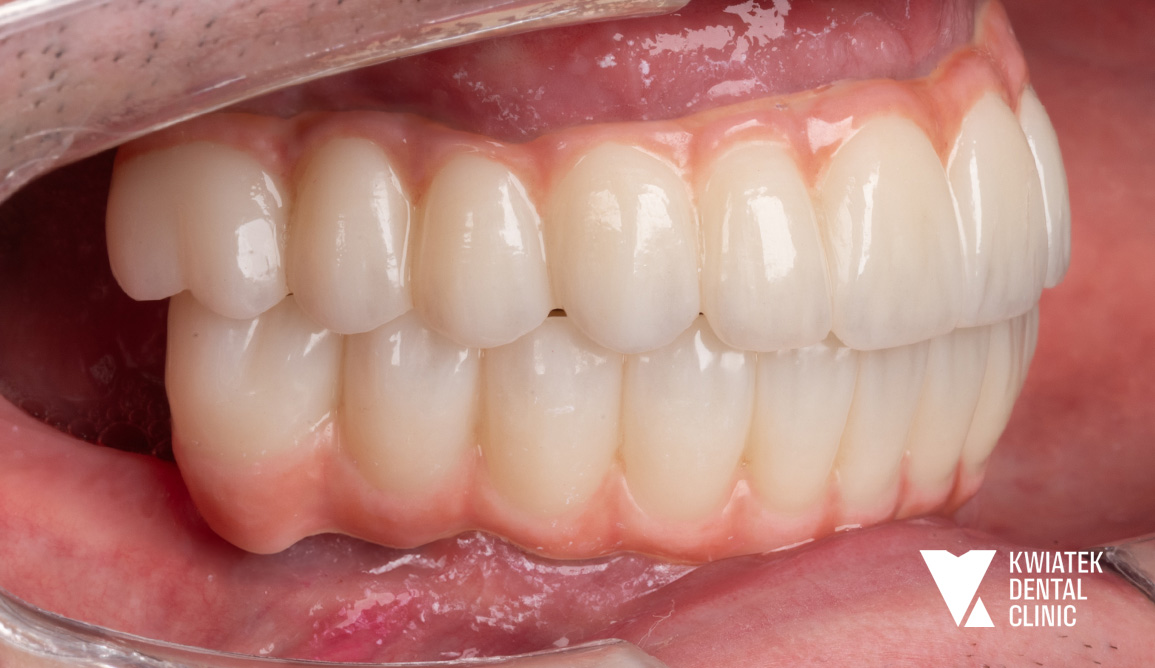
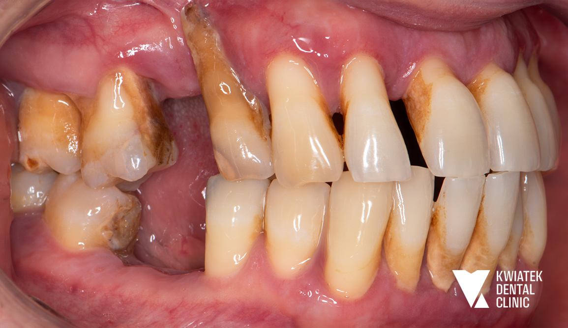
Kompleksowa odbudowa uśmiechu na implantach (all on 6)

U Pacjenta zdiagnozowano zaawansowane zapalenie przyzębia i ruchomość wszystkich zębów. Ze względu na brak możliwości leczenia zachowawczego zakwalifikowano zęby do usunięcia. W trakcie jednej wizyty wszczepiono 6 implantów w szczęce i 6 w żuchwie (all on 6) oraz osadzono prace tymczasowe. Po zakończonym gojeniu wykonano pełną odbudowę w postaci 12 koron na implantach w łuku górnym i 12 w łuku dolnym. Efekt: naturalny, stabilny i pełny uśmiech.

Har du spørsmål?
Ønsker du å bestille en time?
Ring oss