Wieloetapowa rekonstrukcja uśmiechu w leczeniu interdyscyplinarnym

PRZED
PO
PRZED
PO

Pacjentka zgłosiła się do naszej kliniki z powodu silnych dolegliwości bólowych w obrębie przedniego odcinka szczęki. Leczenie kanałowe jednego z zębów było wcześniej rozpoczęte w innym gabinecie, jednak pomimo kilku wizyt dolegliwości nie ustępowały. W trakcie konsultacji klinicznej stwierdzono bolesność zębów, ich zwiększoną ruchomość oraz objawy wskazujące na proces zapalny w tkankach okołowierzchołkowych. Ze względu na złożoność problemu podjęto decyzję o przeprowadzeniu pełnej diagnostyki oraz zaplanowaniu kompleksowego leczenia.

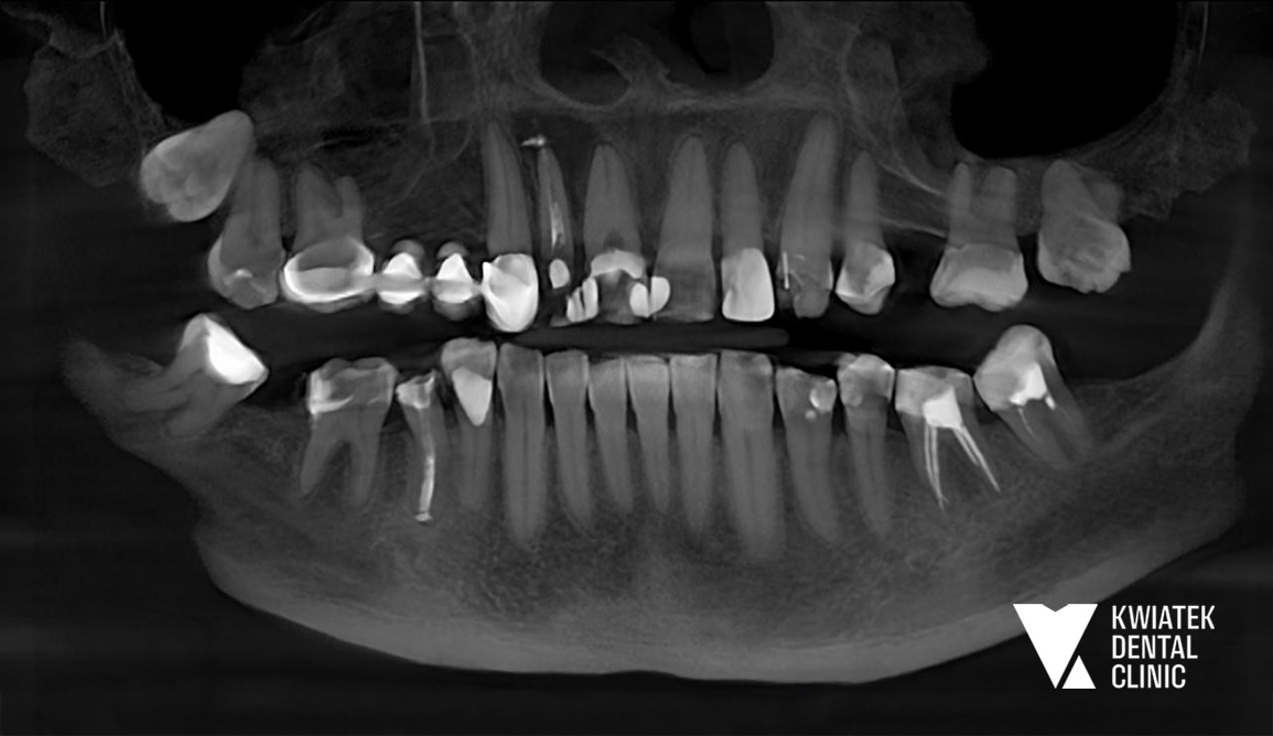
W celu dokładnej oceny stanu tkanek wykonano badanie tomografii komputerowej CBCT. Badanie wykazało obecność zmiany zapalnej w kości podniebienia w okolicy zębów przednich, o wymiarach około 13 × 10 mm, co wskazywało na torbiel zębopochodną wymagającą leczenia chirurgicznego.

Podczas badania stomatologicznego stwierdzono również szereg dodatkowych problemów:

  • nieszczelny most protetyczny w odcinku bocznym szczęki

  • zaburzoną płaszczyznę zwarcia

  • rotacje zębów oraz ich nieprawidłowe nachylenie

  • znaczne starcie powierzchni zębów

  • liczne ubytki próchnicowe i nieszczelne wypełnienia

Dodatkowym wyzwaniem terapeutycznym były choroby ogólne Pacjentki, w tym niewyrównana cukrzyca, co wymagało szczególnie starannego planowania leczenia oraz ścisłej kontroli procesu gojenia.

Zespół lekarzy przygotował kompleksowy, wieloetapowy plan leczenia obejmujący kilka dziedzin stomatologii: chirurgię stomatologiczną, leczenie endodontyczne, leczenie zachowawcze, implantologię, protetykę, estetyczną rekonstrukcję uśmiechu. Zakładał on przede wszystkim usunięcie ogniska zapalnego, przywrócenie zdrowia tkanek oraz odbudowę prawidłowej funkcji narządu żucia. Dopiero w kolejnych etapach możliwe było przejście do rekonstrukcji estetycznej uśmiechu.

Pierwszym etapem było leczenie ostrego stanu zapalnego. Następnie wykonano zabieg chirurgiczny polegający na ekstrakcji zęba oraz wyłuszczeniu torbieli zębopochodnej. Po okresie gojenia przeprowadzono kolejne etapy leczenia:

  • leczenie kanałowe zęba przedniego z użyciem mikroskopu

  • liczne zabiegi zachowawcze polegające na usunięciu próchnicy i wymianie wypełnień

  • profesjonalne higienizacje jamy ustnej oraz instruktaż higieny

Kolejnym ważnym etapem była odbudowa brakujących zębów w odcinku bocznym żuchwy. Wykonano zabieg implantacji w pozycjach zębów 36 i 47 z użyciem systemu implantologicznego MIS C1 oraz z zastosowaniem szablonu chirurgicznego i nawigacji implantologicznej. Po zakończeniu procesu osteointegracji wykonano odbudowy protetyczne na implantach oraz korony protetyczne na zębach własnych Pacjentki. Równolegle przeprowadzono estetyczną rekonstrukcję zębów dolnych metodą flow injection, która pozwoliła na odbudowę ich kształtu i przywrócenie prawidłowych proporcji uśmiechu. Całość leczenia uzupełniono zabiegiem wybielania zębów metodą gabinetową z zastosowaniem systemu Philips Zoom.

Efektem leczenia jest kompleksowa odbudowa zdrowia jamy ustnej oraz harmonijna poprawa estetyki uśmiechu Pacjentki. Usunięto ognisko infekcji, odbudowano brakujące zęby z wykorzystaniem implantów i przywrócono prawidłową funkcję zgryzu.

Dziś Pacjentka może znów swobodnie jeść, mówić i uśmiechać się bez dyskomfortu. Ta metamorfoza pokazuje, że nowoczesna, interdyscyplinarna stomatologia potrafi nie tylko przywrócić zdrowie zębów, ale także realnie poprawić komfort i jakość życia.

Powyższe zdjęcia mają charakter informacyjny i obrazują efekty leczenia stomatologicznego u jednego z pacjentów. Zakres terapii dobierany jest indywidualnie – rezultaty mogą się różnić w zależności od stanu zdrowia, diagnozy i planu leczenia.
Har du spørsmål?
Ønsker du å bestille en time?
Ring oss