Od protez ruchomych do trwałych rozwiązań implantoprotetycznych

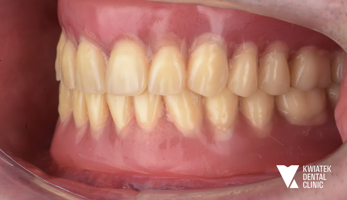
PRZED
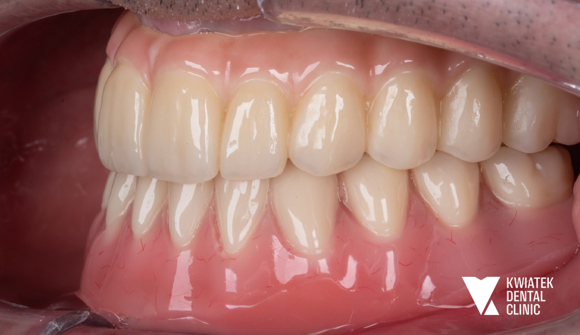
PO
PRZED
PO

Pacjent zgłosił się do naszej kliniki z problemem całkowitego bezzębia oraz znacznym obniżeniem komfortu życia wynikającym z użytkowania protez ruchomych. Główną potrzebą była poprawa stabilizacji uzupełnień protetycznych, przywrócenie funkcji żucia oraz uzyskanie estetycznego, naturalnego uśmiechu.
Proces leczenia rozpoczęto od kompleksowej diagnostyki obrazowej obejmującej tomografię CBCT oraz zdjęcie pantomograficzne, co pozwoliło na dokładną ocenę warunków kostnych i zaplanowanie leczenia implantologicznego. Przeprowadzono konsultację protetyczną oraz wykonano skany wewnątrzustne, które stanowiły podstawę do cyfrowego planowania przyszłej odbudowy.

Z uwagi na całkowite bezzębie zaplanowano kompleksową rehabilitację implantoprotetyczną obu łuków. Leczenie obejmowało:

  • przygotowanie tkanek miękkich poprzez przeszczepy dziąsła (FGG),
  • etapową implantację w żuchwie i szczęce z wykorzystaniem systemu MIS C1,
  • procedury augmentacyjne, w tym podniesienie dna zatoki szczękowej oraz zastosowanie biomateriałów kościozastępczych i membran kolagenowych,
  • wykonanie prac tymczasowych, a następnie docelowych uzupełnień protetycznych.

 

Leczenie przebiegało wieloetapowo i zostało przeprowadzone zgodnie z najwyższymi standardami nowoczesnej implantologii.

W pierwszym etapie wykonano przeszczep wolnego dziąsła w odcinku żuchwy, co pozwoliło na poprawę jakości tkanek miękkich i przygotowanie podłoża do implantacji. Następnie, przy użyciu szablonów chirurgicznych i pełnej nawigacji cyfrowej, wszczepiono implanty w żuchwie w pozycjach odpowiadających przyszłej stabilizacji pracy protetycznej.

Kolejnym etapem była rozbudowa szczęki: przeprowadzono implantację w sześciu pozycjach z jednoczesną augmentacją kości, zastosowaniem biomateriałów oraz podniesieniem dna zatoki szczękowej metodą zamkniętą. Całość procedur odbywała się w kontrolowanych warunkach z wykorzystaniem diagnostyki śródzabiegowej CBCT. W trakcie leczenia Pacjent korzystał z uzupełnień tymczasowych.. Po okresie osteointegracji przeprowadzono odsłonięcie implantów, założenie śrub gojących oraz elementów multi-unit.

Etap protetyczny obejmował precyzyjne wyciski,skany, przymiarki, rejestrację zwarcia oraz kontrolę pasywności konstrukcji. W szczęce wykonano most typu All-on-6, natomiast w żuchwie zastosowano protezę overdenture opartą na belce i czterech implantach, zapewniającą stabilność i łatwość higieny.

Efektem leczenia jest kompleksowa odbudowa funkcji i estetyki jamy ustnej. Pacjent uzyskał stabilne, komfortowe i estetyczne uzupełnienia protetyczne to jest stały most w szczęce oraz precyzyjnie dopasowaną protezę na implantach w żuchwie.

Dzięki przeprowadzonej terapii Pacjent odzyskał pełną kontrolę nad funkcją żucia oraz komfort, który wcześniej był niemożliwy do osiągnięcia. Metamorfoza ta stanowi przykład nowoczesnego, kompleksowego podejścia do leczenia bezzębia, opartego na zaawansowanej diagnostyce, chirurgii i protetyce cyfrowej.

Powyższe zdjęcia mają charakter informacyjny i obrazują efekty leczenia stomatologicznego u jednego z pacjentów. Zakres terapii dobierany jest indywidualnie – rezultaty mogą się różnić w zależności od stanu zdrowia, diagnozy i planu leczenia.
Har du spørsmål?
Ønsker du å bestille en time?
Ring oss