Kompleksowa odbudowa uśmiechu – implanty, licówki i korony ceramiczne

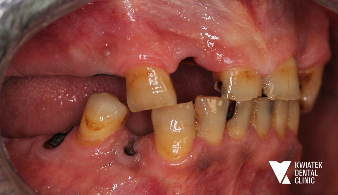
PRZED
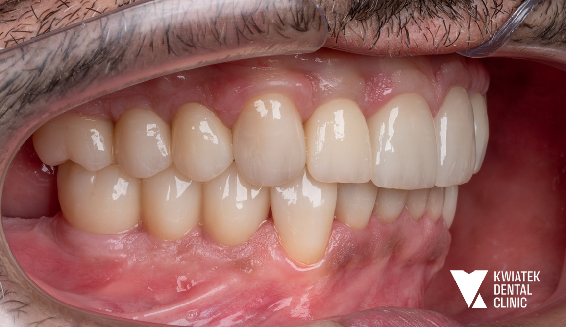
PO
PRZED
PO

Pacjent zgłosił się do naszej Kliniki z potrzebą całościowego przywrócenia funkcji i estetyki uzębienia. Leczenie rozpoczęliśmy od profesjonalnej higienizacji, aby usunąć złogi nazębne oraz płytkę bakteryjną, co stworzyło prawidłowe warunki do dalszych zabiegów.

Następnie wykonano leczenie endodontyczne (kanałowe) zębów kwalifikujących się do odbudowy protetycznej, eliminując przy tym stany zapalne.

W kolejnym etapie usunięto ósemki, a po wygojeniu tkanek wykonano skany cyfrowe i rejestrację zwarcia, aby precyzyjnie zaplanować rozmieszczenie implantów i kształt przyszłych koron. Podczas zabiegów zastosowano szablony chirurgiczne, co pozwoliło bezpiecznie i precyzyjnie wszczepić implanty zębowe.

W odcinku przednim przygotowano zęby pod licówki ceramiczne, które pozwoliły uzyskać idealne proporcje i naturalny wygląd. Na etapie gojenia Pacjent korzystał z koron tymczasowych, które umożliwiały funkcjonowanie i stopniowe przyzwyczajenie się do nowego zgryzu.

Po integracji implantów wykonano korony ceramiczne na implantach oraz korony pełnoceramiczne na zębach własnych, dzięki czemu cały uśmiech zyskał harmonijny, estetyczny wygląd.

Leczenie zakończyliśmy instruktażem higieny, profesjonalną kontrolą okluzji i zaleceniem regularnych wizyt higienizacyjnych co 6 miesięcy.

Kompleksowe podejście pozwoliło przywrócić Pacjentowi pełen komfort i estetyczny uśmiech oparty na solidnych, nowoczesnych rozwiązaniach stomatologicznych.

Powyższe zdjęcia mają charakter informacyjny i obrazują efekty leczenia stomatologicznego u jednego z pacjentów. Zakres terapii dobierany jest indywidualnie – rezultaty mogą się różnić w zależności od stanu zdrowia, diagnozy i planu leczenia.
Har du spørsmål?
Ønsker du å bestille en time?
Ring oss