PRZED
PO
PRZED
PO

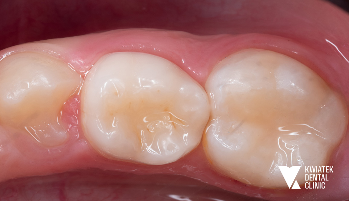
Powrót komfortu żucia dzięki precyzyjnej odbudowie implantologicznej szóstek dolnych

Kategoria: Implanty, Korony i mosty

Pacjentka zgłosiła się do kliniki z brakami zębowymi w odcinkach bocznych żuchwy, obejmującymi pierwsze trzonowce. To właśnie zęby szóste najczęściej tracimy jako pierwsze, ponieważ są pierwszymi zębami trzonowymi pojawiającymi się w jamie ustnej i przez lata podlegają największym obciążeniom. Po szczegółowej diagnostyce zaplanowano leczenie implantologiczne, które pozwoliło przywrócić prawidłową funkcję żucia oraz estetykę uśmiechu.

Nowość!
PRZED
PO

Nowa siła małych zębów dzięki koronom stalowym w praktyce

U 8-letniego Pacjenta rozpoznano zaawansowaną próchnicę w zębach mlecznych, obejmującą głębokie struktury i rozległe obszary. Zastosowano leczenie zachowawcze i endodontyczne oraz odbudowę przy użyciu koron stalowych. Efektem jest trwałe zabezpieczenie zębów, przywrócenie funkcji żucia i ochrona miejsca dla zębów stałych.

PRZED
PO

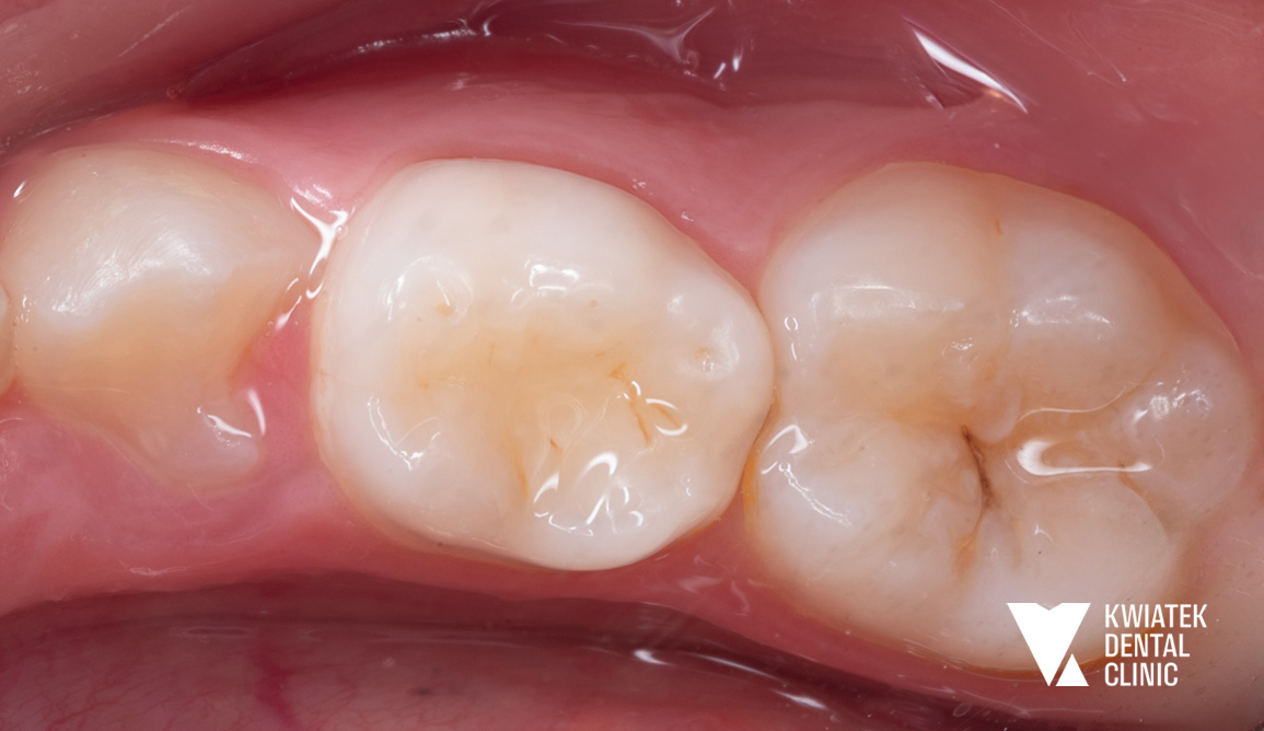
Precyzja i delikatność w leczeniu dziecięcego zęba

U młodych Pacjentów nawet niewielkie zmiany próchnicowe mogą w krótkim czasie prowadzić do poważnego uszkodzenia tkanek zęba. Dlatego w stomatologii dziecięcej kluczowe znaczenie ma wczesna diagnostyka oraz zastosowanie nowoczesnych, precyzyjnych metod leczenia, które pozwalają zatrzymać proces chorobowy i jednocześnie zachować jak największą ilość zdrowych tkanek.

Do kliniki zgłosiła się 10 letnia Pacjentka z głęboką próchnicą zęba trzonowego 36 obejmującą powierzchnię żującą oraz policzkową. Leczenie wymagało starannego, selektywnego opracowania ubytku oraz odbudowy korony zęba przy użyciu nowoczesnych materiałów kompozytowych.

Dzięki zastosowaniu pracy w powiększeniu oraz techniki stempla okluzyjnego możliwe było bardzo dokładne odtworzenie naturalnej anatomii zęba, a tym samym przywrócenie jego prawidłowej funkcji i estetyki.

PRZED
PO
PRZED
PO

Wieloetapowa rekonstrukcja uśmiechu w leczeniu interdyscyplinarnym

Pacjentka zgłosiła się do naszej kliniki z silnym bólem zębów przednich oraz zaawansowanym stanem zapalnym w obrębie kości szczęki. Diagnostyka wykazała torbiel zębopochodną wymagającą leczenia chirurgicznego oraz liczne problemy stomatologiczne obejmujące zarówno zęby, jak i zgryz. Dzięki kompleksowemu leczeniu obejmującemu chirurgię, implantologię, leczenie zachowawcze, protetykę i estetyczną rekonstrukcję udało się przywrócić Pacjentce zdrowie jamy ustnej, prawidłową funkcję zgryzu oraz naturalną estetykę uśmiechu.

PRZED
PO
PRZED
PO

Nowoczesna, wieloetapowa ortodoncja bez ekstrakcji u młodego Pacjenta wsparta mikroimplantami

Pacjent zgłosił się na konsultację ortodontyczną z powodu nieprawidłowego ustawienia kła górnego oraz braku miejsca w łuku zębowym. Diagnostyka wykazała m.in. zgryz krzyżowy zęba 12, wychylenie zęba 13 oraz deficyt przestrzeni w szczęce.

Leczenie obejmowało przygotowanie chirurgiczne, zastosowanie systemu Beneslider z miniimplantami ortodontycznymi oraz leczenie aparatem stałym. Dzięki wieloetapowej terapii uzyskano prawidłowe ustawienie zębów, harmonijny zgryz oraz spektakularną poprawę estetyki uśmiechu.

PRZED
PO
PRZED
PO

Od diagnostyki do estetyki - kompleksowa terapia stomatologiczna

Pacjentka zgłosiła się na pierwszą konsultację stomatologiczną z licznymi wypełnieniami wymagającymi wymiany oraz ogniskami próchnicy. Leczenie rozpoczęto od kompleksowej diagnostyki i higienizacji, następnie przeprowadzono leczenie zachowawcze, odbudowę protetyczną zęba oraz zabiegi chirurgiczne, przygotowujące do dalszej terapii. Całość została zwieńczona leczeniem ortodontycznym aparatem nakładkowym oraz wybielaniem zębów, dzięki czemu uzyskano zdrowy, harmonijny i naturalnie estetyczny uśmiech.

PRZED
PO
PRZED
PO

Kompleksowa odbudowa bezzębia na belkach tytanowych

Pacjent zgłosił się z zaawansowaną chorobą przyzębia, obejmującą wszystkie zęby, które na podstawie badania klinicznego i tomografii CBCT zostały zakwalifikowane do usunięcia Przeprowadzono kompleksowe leczenie: ekstrakcje a następnie implantację w pełnej nawigacji komputerowej oraz odbudowę na belkach tytanowych. Efektem jest stabilna, funkcjonalna i estetyczna rekonstrukcja obu łuków zębowych, która nie tylko przywraca komfort i pewność siebie, lecz staje się prawdziwym przełomem w jakości życia Pacjenta i trwałym fundamentem nowego uśmiechu oraz nowego początku.

PRZED
PO
PRZED
PO

Luksusowa rehabilitacja uśmiechu w standardzie Kwiatek Dental Clinic

Pacjent zgłosił się z zaawansowaną destrukcją uzębienia, utratą zębów oraz poważnymi zaburzeniami funkcji żucia i estetyki twarzy. Wieloetapowe leczenie objęło kompleksową rehabilitację całej jamy ustnej od chirurgii i implantologii przez leczenie zachowawcze i endodontyczne po zaawansowaną protetykę i periodontologię. Efektem jest stabilne fizjologiczne zwarcie, zdrowe tkanki oraz naturalny harmonijny uśmiech, który całkowicie odmienił komfort życia Pacjenta.

PRZED
PO
PRZED
PO

Projekt: komfort na lata czyli uśmiech gotowy na kolejne dekady

Pacjent zgłosił się z powodu ruszającego się mostu oraz bardzo starych koron wykonanych ponad 20 lat wcześniej, którym towarzyszyło znaczne obniżenie poziomu dziąseł i nieprawidłowe warunki zgryzowe. Leczenie obejmowało kompleksową diagnostykę, usunięcie przestarzałych prac, leczenie chirurgiczne, implantologiczne, endodontyczne oraz pełną rekonstrukcję protetyczną. Efektem jest stabilny, funkcjonalny i estetyczny uśmiech oparty na implantach oraz pełnoceramicznych koronach.

 

PRZED
PO
PRZED
PO

Gdy leczenie staje się sztuką: pełna rehabilitacja jamy ustnej

Do naszej kliniki zgłosił się Pacjent z wieloletnimi, narastającymi problemami stomatologicznymi, obejmującymi liczne ubytki próchnicowe, braki zębowe oraz zużyte, nieszczelne uzupełnienia protetyczne, które przestały spełniać swoją funkcję. Leczenie wymagało precyzyjnie zaplanowanej, wielomiesięcznej terapii obejmującej chirurgię, implantologię, endodoncję mikroskopową oraz rekonstrukcję protetyczną. Finalnie uzyskano stabilną funkcję, wysoką estetykę oraz fizjologiczne warunki pracy narządu żucia.

Har du spørsmål?
Ønsker du å bestille en time?
Ring oss