PRZED
PO
PRZED
PO

Luksus dyskretnej ortodoncji oparty na zaawansowanej technologii nakładkowej

Pacjentka zgłosiła się do kliniki z potrzebą kompleksowej poprawy zarówno funkcji zgryzu, jak i estetyki uśmiechu. W badaniu stwierdzono zgryz krzyżowy, stłoczenia zębów oraz liczne problemy wymagające leczenia zachowawczego i protetycznego, co wymagało wieloetapowego, interdyscyplinarnego podejścia. Terapię poprzedziło staranne przygotowanie jamy ustnej obejmujące ekstrakcję zębów mądrości, profesjonalną higienizację oraz odbudowę osłabionych struktur. Następnie wdrożono zaawansowane leczenie ortodontyczne z wykorzystaniem nowoczesnego systemu nakładkowego. Rezultatem jest harmonijny, stabilny zgryz, idealnie ukształtowane łuki zębowe oraz wyraźnie odmłodzony, jasny uśmiech, podkreślony profesjonalnym wybielaniem.

PRZED
PO
PRZED
PO

Architektura uśmiechu - pełna rekonstrukcja w standardzie premium

Nie każda metamorfoza zaczyna się od estetyki. Czasem zaczyna się od utraty wysokości zwarcia, napięcia mięśni i uśmiechu, który przestaje być naturalny.

Pacjent zgłosił się z nasilonym starciem zębów, zaciskaniem oraz odwróconą linią uśmiechu. Towarzyszyły temu rozległe ubytki  próchnicowe i zęby wymagające ponownego leczenia kanałowego. Zaprojektowaliśmy kompleksową, interdyscyplinarną rehabilitację jamy ustnej - od leczenia zachowawczego i chirurgii periodontologicznej, przez nawigowaną implantologię, po pełną odbudowę protetyczną.

Efekt to stabilne zwarcie, harmonijna linia dziąseł i naturalna, pełnoceramiczna estetyka. Nie korekta. Precyzyjna rekonstrukcja.

PRZED
PO
PRZED
PO

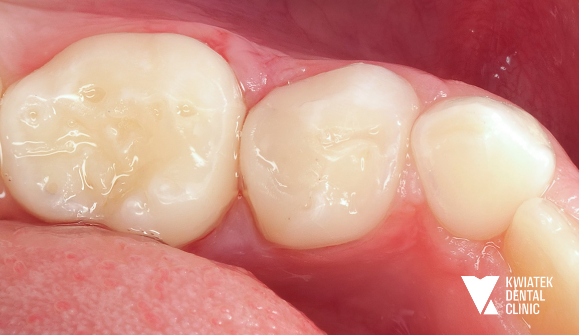
Implant zamiast kompromisu - funkcja i estetyka na najwyższym poziomie

Pacjentka przez lata użytkowała starą pracę protetyczną w odcinku 16 do 14, która z czasem przestała spełniać zarówno funkcję estetyczną, jak i funkcjonalną. Po szczegółowej diagnostyce zaproponowano najnowocześniejsze i najbardziej przewidywalne rozwiązanie w postaci implantacji w miejscu brakującego zęba 15 oraz wykonanie nowych koron ceramicznych. Efektem jest trwała, komfortowa i naturalnie wyglądająca odbudowa, przywracająca prawidłowe warunki żucia i harmonię uśmiechu.

PRZED
PO
PRZED
PO

Profilaktyka w praktyce - dlaczego wizyta kontrolna ma kluczowe znaczenie?

Czy wiesz, że próchnica w mleczaku może zagrozić zębowi stałemu?

U 9-letniej Pacjentki podczas rutynowej kontroli wykryliśmy głęboką próchnicę w mlecznej piątce. Ząb sąsiadował ze stałą szóstką. W trakcie leczenia okazało się, że proces próchnicowy zaczął obejmować również ząb stały. Na szczęście szybka reakcja pozwoliła zabezpieczyć oba zęby.

 Wniosek?
Wizyty kontrolne co 6 miesięcy to nie formalność. To realna ochrona zębów stałych Twojego dziecka.

PRZED
PO
PRZED
PO

Precyzja, czas i plan - pełnołukowa metamorfoza funkcji i estetyki

Tam, gdzie inni widzą ograniczenia, my widzimy możliwości. Dzięki precyzyjnej diagnostyce, doświadczeniu zespołu i nowoczesnym rozwiązaniom implantoprotetycznym nawet najbardziej złożony przypadek może zakończyć się trwałym, estetycznym i w pełni przewidywalnym sukcesem.

Pacjentka zgłosiła się do kliniki w momencie, gdy wieloletnie uzupełnienia protetyczne utraciły swoją funkcję, a przewlekłe zmiany okołowierzchołkowe i ból zaczęły istotnie wpływać na komfort życia. Szczegółowa diagnostyka stała się punktem wyjścia do zaplanowania kompleksowego, wieloetapowego leczenia obejmującego terapię endodontyczną, chirurgiczną oraz implantologiczną, którego celem była pełna rehabilitacja jamy ustnej.

PRZED
PO

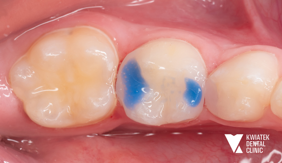
Każdy mleczak ma znaczenie - inwestycja w przyszłe zęby

8-letni Pacjent zgłosił się do naszej kliniki z ubytkami próchnicowymi oraz nieszczelnymi wypełnieniami w zębach mlecznych. Leczenie wymagało dokładnej diagnostyki, etapowego planu oraz zastosowania nowoczesnych materiałów i skutecznego znieczulenia. Dzięki kompleksowemu podejściu udało się uratować kluczowe zęby, przywrócić ich funkcję i estetykę oraz zadbać o prawidłowy rozwój przyszłego uzębienia.

PRZED
PO

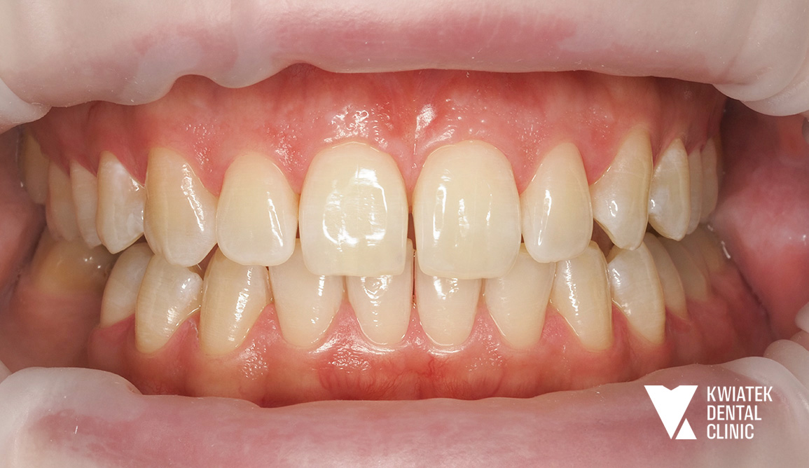
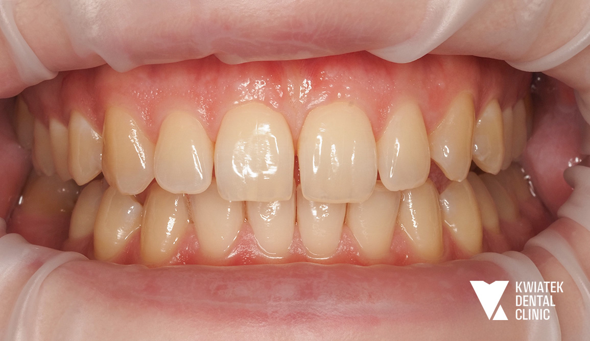
Od profilaktyki do blasku - kompleksowa poprawa uśmiechu

Kategoria: Wybielanie

Impulsem do wizyty w naszej klinice była potrzeba holistycznej poprawy uśmiechu przez naszą Pacjentkę - zarówno w aspekcie zdrowotnym, jak i estetycznym. Metamorfozę rozpoczęto od profesjonalnej higienizacji jamy ustnej przeprowadzonej w protokole Guided Biofilm Therapy, po której wykonano szybkie i bezpieczne rozjaśnianie zębów metodą Blanc One Click. Efektem jest wyraźnie jaśniejszy, świeży uśmiech oraz natychmiastowy komfort i satysfakcja Pacjentki.

PRZED
PO
PRZED
PO

Pełna rekonstrukcja zwarcia i estetyki - historia wymagającej metamorfozy

Pacjent zgłosił się do kliniki z zaawansowanymi problemami stomatologicznymi: licznymi ubytkami próchnicowymi, brakami zębowymi, starciem zębów oraz zaburzeniami zwarcia. Leczenie obejmowało kompleksową diagnostykę, leczenie zachowawcze i endodontyczne, zabiegi chirurgiczne, implantację oraz wieloetapową odbudowę protetyczną. Efektem terapii jest perfekcyjnie zbalansowany zgryz, najwyższy komfort funkcjonowania oraz naturalnie piękny uśmiech, który podkreśla indywidualny charakter pacjenta i pozwala mu w pełni cieszyć się nim każdego dnia.

PRZED
PO

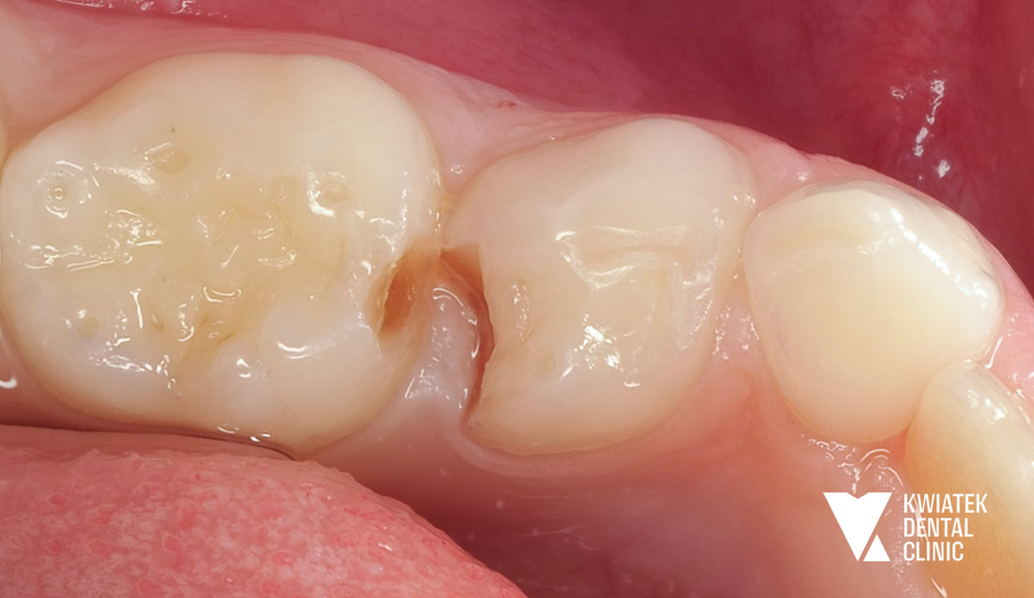
Mały Bohater, Wielki Uśmiech - Kolorowa Metamorfoza Małego Pacjenta

Prawie 10-letni Pacjent zgłosił się do naszej kliniki z głęboką, niewidoczną gołym okiem próchnicą w zębie mlecznym, wymagającą precyzyjnego leczenia. Dzięki doskonałej współpracy, wzajemnemu zaufaniu oraz empatycznemu i spokojnemu podejściu lekarza, cały zabieg przebiegł bez stresu i w przyjaznej atmosferze. Efektem jest zdrowy ząb, kolorowe wypełnienie spełniające marzenie Małego Pacjenta, piękny uśmiech oraz ogromna duma Małego Bohatera.

PRZED
PO
PRZED
PO

Architektura Uśmiechu Premium -Tam, gdzie stomatologia spotyka ortodoncję

Pacjent zgłosił się do kliniki z licznymi problemami stomatologicznymi oraz wadą zgryzu, wymagającymi kompleksowego i wielospecjalistycznego leczenia. Dzięki precyzyjnej diagnostyce, nowoczesnym technologiom i ścisłej współpracy zespołu specjalistów przeprowadzono wieloetapową terapię obejmującą stomatologię zachowawczą, endodoncję mikroskopową, chirurgię, protetykę oraz ortodoncję. Efektem jest harmonijny, stabilny i spektakularnie estetyczny uśmiech klasy premium.

Har du spørsmål?
Ønsker du å bestille en time?
Ring oss