Higienizacja to profesjonalny zabieg profilaktyczny wykonywany w naszej Klinice według protokołu GBT (Guided Biofilm Therapy), który w nowoczesny i bezpieczny sposób usuwa biofilm, kamień nazębny oraz osady i przebarwienia. Regularne zabiegi pozwalają nie tylko poprawić estetykę uśmiechu i świeżość oddechu, ale przede wszystkim skutecznie zapobiegają chorobom dziąseł i próchnicy. Efekty higienizacji są widoczne od razu – zęby stają się gładsze, jaśniejsze i zdrowsze.


PRZED
PO

Kompleksowe leczenie stomatologiczne - wybielanie, bonding i odbudowy protetyczne

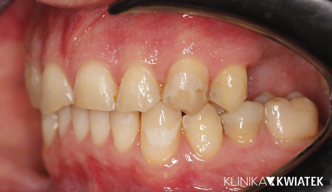
Pacjent zgłosił się z obniżoną wysokością zwarcia i przewlekłym dyskomfortem, który utrudniał codzienne funkcjonowanie i wpływał na wygląd uśmiechu. W ramach kompleksowego leczenia przeprowadzono szynoterapię, wybielanie, implantację, bonding, osadzono korony pełnoceramiczne oraz korony na implantach.

Profesjonalna higienizacja pozwoliła utrzymać idealne warunki w jamie ustnej i stanowiła solidny fundament dla skutecznej, przewidywalnej terapii.

PRZED
PO

Pełna odbudowa estetyczna uśmiechu

Pacjent zgłosił się do naszej Kliniki z potrzebą kompleksowego leczenia – zależało mu na poprawie estetyki, funkcji oraz zdrowia zębów. Po leczeniu zachowawczym i endodontycznym zaplanowano pełną odbudowę estetyczno-funkcjonalną w oparciu o projekt wax-up. W ramach terapii przeprowadzono deprogramację, wszczepiono implanty oraz wykonano korony na implantach, licówki i korony pełnoceramiczne. Efekt? Naturalny, spójny uśmiech i nowy poziom komfortu na co dzień.

PRZED
PO

Kompleksowa rehabilitacja zgryzu i estetyki uśmiechu

Pacjentka zgłosiła się z potrzebą kompleksowego leczenia. Stwierdzono nieszczelne korony, zanik kości, stan zapalny dziąseł oraz silne starcie zębów w dolnym łuku. Wykonano leczenie zachowawcze, kanałowe, higienizację, kiretaże i bonding w łuku dolnym. Podniesiono zwarcie i rozpoczęto rehabilitację zgryzu. Pacjentka użytkuje korony tymczasowe w łuku górnym i jest w trakcie leczenia implantologicznego — już na tym etapie uzyskano widoczną poprawę estetyki i funkcji.

PRZED
PO
PRZED
PO

Naturalne i funkcjonalne odbudowy - wypełnienia nanokompozytowe

Pacjentka trafiła do naszej Kliniki na higienizację. Po szczegółowym badaniu stomatologicznym rozpoczęto leczenie zachowawcze.
Wykonano wypełnienia nanokompozytowe w koferdamie i pod kontrolą mikroskopu – z dbałością o detale, naturalny efekt i pełne poszanowanie tkanek.

Efekt? Zdrowy, harmonijny uśmiech!

PRZED
PO

Interdyscyplinarne podejście do leczenia wady zgryzu – stały aparat ortodontyczny

Zaawansowana wada zgryzu wymagała kompleksowego podejścia.
Zastosowano stały aparat ortodontyczny najlepiej dopasowany do potrzeb Pacjentki.
Dzięki współpracy specjalistów oraz zaangażowaniu Pacjentki, leczenie przebiegło sprawnie, a efekt to zdrowy, stabilny i estetyczny uśmiech.

PRZED
PO

Leczenie kompleksowe: stały aparat ortodontyczny, protetyka i precyzyjna odbudowa zgryzu

Pacjentka przeszła kompleksowe leczenie z wykorzystaniem stałego aparatu ortodontycznego samoligaturującego, indywidualnie dopasowanego do jej potrzeb.
Po zakończeniu leczenia ortodontycznego wykonano wax-up, mock-up oraz ekwilibrację zgryzu. Finalny efekt osiągnięto dzięki bondingowi w obu łukach.
Dzięki regularnym kontrolom i higienizacji może dziś cieszyć się zdrowym, funkcjonalnym i estetycznym uśmiechem.

PRZED
PO

Wypełnienia nanokompozytowe, które przywracają uśmiech

Pacjentka trafiła do naszej Kliniki z potrzebą zintegrowanego leczenia stomatologicznego, a pierwszym krokiem była higienizacja i diagnostyka. Szybko wdrożone leczenie górnych siekaczy (wypełnienia nanokompozytowe) pozwoliło jej odzyskać uśmiech i rozpocząć dalszą terapię z doskonałą motywacją.

PRZED
PO

Od projektu do perfekcji – bonding i kompleksowa odbudowa uśmiechu

Przygotowanie do kompleksowego leczenia u Pacjenta obejmowało higienizację, wybielanie, cyfrowe planowanie i mock-up. Następnie wykonano ekstrakcję ósemek, bonding w obu łukach oraz odbudowy trzonowców z użyciem wypełnień nanokompozytowych i nakładów typu overlay.
Efekt to estetyczny uśmiech i stabilna funkcja – utrzymywane dzięki regularnym kontrolom i higienizacji.

 

 

PRZED
PO

Spektakularne efekty leczenia nakładkowego - nowoczesna ortodoncja

Leczenie nakładkami ortodontycznymi przyniosło imponujący efekt w niespełna rok.
Dzięki precyzyjnemu planowi i zaangażowaniu Pacjentki udało się osiągnąć harmonijny uśmiech, który jest utrwalany w fazie retencji. Pełna satysfakcja Pacjentki to dowód, że współczesna ortodoncja działa cuda!

PRZED
PO
PRZED
PO

Kompleksowe leczenie: aparat nakładkowy, bonding, implanty. Interdyscyplinarna współpraca ortodonty, protetyka i implantologa

Pacjent przeszedł kompleksowe leczenie obejmujące ortodoncję nakładkową, rehabilitację zwarcia, fizjoterapię, wybielanie, bonding oraz odbudowę braków zębowych na implantach. Całość zakończyła się wdrożeniem retencji oraz uzyskaniem stabilnego, funkcjonalnego i estetycznego uśmiechu.

Har du spørsmål?
Ønsker du å bestille en time?
Ring oss