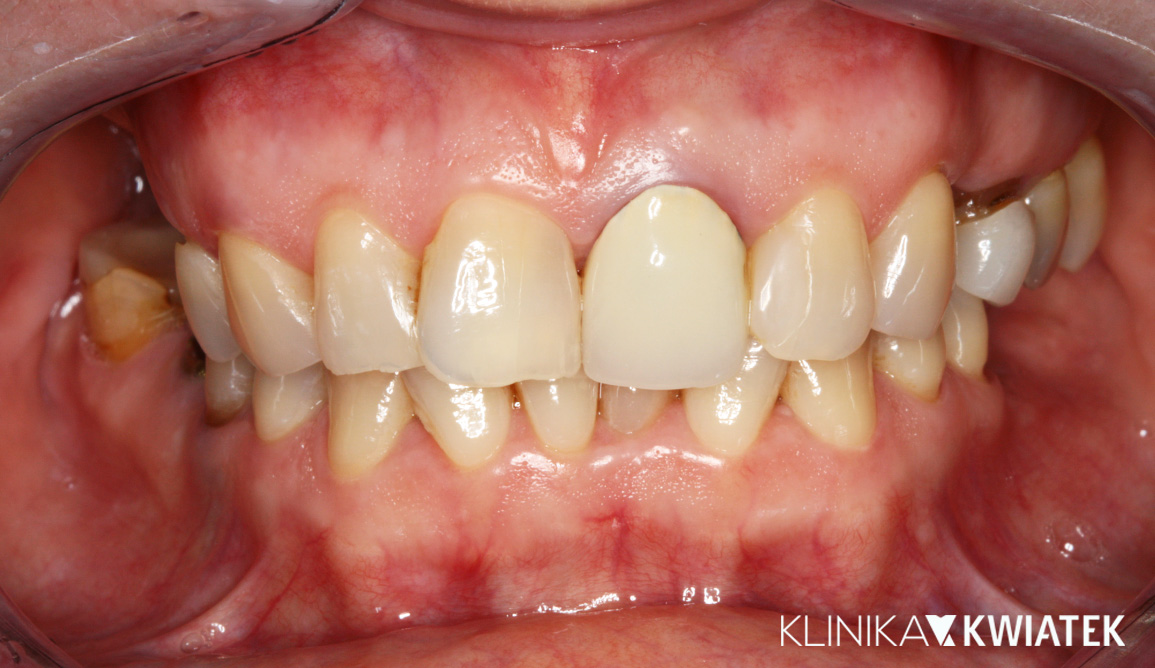
Higienizacja to profesjonalny zabieg profilaktyczny wykonywany w naszej Klinice według protokołu GBT (Guided Biofilm Therapy), który w nowoczesny i bezpieczny sposób usuwa biofilm, kamień nazębny oraz osady i przebarwienia. Regularne zabiegi pozwalają nie tylko poprawić estetykę uśmiechu i świeżość oddechu, ale przede wszystkim skutecznie zapobiegają chorobom dziąseł i próchnicy. Efekty higienizacji są widoczne od razu – zęby stają się gładsze, jaśniejsze i zdrowsze.


PRZED
PO
PRZED
PO

Rehabilitacja zgryzu i odbudowa braków - pełna ścieżka terapeutyczna Pacjenta

Pacjent zgłosił się z bardzo złym stanem higieny, licznymi ubytkami, zmianami okołowierzchołkowymi oraz rozległymi brakami zębowymi, które uniemożliwiały prawidłowe funkcjonowanie i estetykę uśmiechu. Rozpoczęto od sanacji jamy ustnej, leczenia zachowawczego i endodontycznego, a następnie przeprowadzono ekstrakcje, leczenie ortodontyczne, implantologiczne oraz kompleksową odbudowę protetyczną. Zakończone leczenie pozwoliło przywrócić pełną funkcję żucia, stabilny zgryz i estetyczny, harmonijny uśmiech.

PRZED
PO
PRZED
PO

Od szparowatości do harmonii - spektakularna transformacja uśmiechu

Pacjentka zgłosiła się z brakami zębowymi w żuchwie, licznymi nieszczelnymi wypełnieniami oraz szparowatością, która wpływała zarówno na funkcję, jak i wygląd uśmiechu. Po szczegółowej diagnostyce wdrożono wieloetapowy plan, obejmujący higienizację, leczenie zachowawcze, implanty, leczenie ortodontyczne oraz estetyczną odbudowę przedniego odcinka. Zakończeniem terapii była rekonstrukcja kompozytowa i protetyczna, dzięki której Pacjentka uzyskała naturalny, proporcjonalny i zdrowy uśmiech.

PRZED
PO
PRZED
PO

Kompleksowa przemiana: ortodoncja, protetyka i estetyka w jednej terapii

Do naszej kliniki zgłosił się Pacjent z rozległymi problemami stomatologicznymi - od złej higieny i stany zapalne, aż po złożoną wadę zgryzu wpływającą na estetykę i funkcję. Po wykonaniu pełnej diagnostyki wprowadzono wieloetapowy plan leczenia: higienizacje, leczenie zachowawcze, endodontyczne, ekstrakcje, rozbudowane leczenie ortodontyczne z zastosowaniem miniimplantów oraz finalną odbudowę estetyczną metodą flow injection.
Efektem jest harmonijny, jasny i zdrowy uśmiech oraz stabilna, fizjologiczna okluzja.

PRZED
PO

Kompleksowe leczenie implantologiczno-protetyczne - pełna odbudowa uśmiechu Pacjentki

Pacjentka zgłosiła się z rozległymi brakami zębowymi, nieestetycznymi koronami i wypełnieniami oraz zmianami próchnicowymi wymagającymi pilnej interwencji. Po wykonaniu pełnej diagnostyki wdrożono wieloetapowy plan leczenia obejmujący implantację, augmentacje kości i tkanek miękkich, leczenie zachowawcze oraz endodontyczne, a następnie kompleksową odbudowę protetyczną. Zwieńczeniem terapii jest stabilny, naturalny i harmonijny uśmiech, który znacząco poprawił komfort życia Pacjentki.

 

PRZED
PO
PRZED
PO

Droga do zdrowego zgryzu – wieloetapowa historia pięknego efektu

Pacjent zgłosił się z nasilonym starciem zębów, zgryzem urazowym, bruksizmem oraz licznymi brakami zębowymi powstałymi w krótkim czasie. Po kompleksowej diagnostyce wdrożono leczenie interdyscyplinarne: higienizacje, terapię mięśniową, implanty, rozbudowane leczenie ortodontyczne, a następnie pełną odbudowę protetyczno-kompozytową. Efektem jest stabilny zgryz, odtworzona pełna funkcja żucia oraz estetyczny, harmonijny uśmiech.

PRZED
PO
PRZED
PO

Sztuka rekonstrukcji – precyzyjne odtworzenie naturalnego uśmiechu

Pacjent zgłosił się do naszej kliniki z licznymi brakami zębowymi, obniżoną wysokością zgryzu oraz nieprawidłowościami w dotychczasowych uzupełnieniach protetycznych.

Po wykonaniu pełnej diagnostyki wdrożono kompleksowy plan leczenia obejmujący higienizację, ekstrakcje, wszczepienie implantów w szczęce i żuchwie, rekonstrukcję kompozytową oraz wykonanie prac pełnoceramicznych i mostów na implantach. Finalnie Pacjent uzyskał stabilny, estetyczny i funkcjonalny uśmiech, który został w pełni zaakceptowany zarówno pod względem komfortu gryzienia, jak i wyglądu.

 

PRZED
PO
PRZED
PO

Pacjentka z Nowym Uśmiechem – Połączenie Endodoncji Mikroskopowej, Implantoprotetyki i Estetyki Pełnoceramicznej

Pani Grażyna nasza Pacjentka zgłosiła się z potrzebą kompleksowego leczenia obejmującego liczne stare wypełnienia, wcześniej leczone kanałowo zęby oraz brak zęba trzonowego w żuchwie. Po przeprowadzeniu szczegółowej diagnostyki opracowano wieloetapowy plan obejmujący higienizacje, ponowne leczenie endodontyczne, pełną odbudowę protetyczną i implant w pozycji 46. Efektem jest zdrowa, stabilna i estetyczna odbudowa funkcji żucia oraz harmonijna linia uśmiechu.

PRZED
PO
PRZED
PO

Od choroby przyzębia do pełnego uśmiechu — metamorfoza Pacjentki z wykorzystaniem technologii All-on-4

Pacjentka zgłosiła się z zaawansowaną chorobą przyzębia i znacznym zanikiem kości, co prowadziło do utraty wielu zębów. Po dokładnej diagnostyce wdrożono etapowe leczenie chirurgiczno-implantoprotetyczne z wykorzystaniem systemu MIS C1 oraz protezy szkieletowej. Efektem jest pełna odbudowa estetyki i funkcji żucia — komfort, stabilność i piękny, naturalny uśmiech.

PRZED
PO
PRZED
PO

Kompleksowa odbudowa uśmiechu – implanty, ortodoncja i protetyka w jednym planie

Pacjent zgłosił się do naszej kliniki z dolegliwościami bólowymi, brakami zębowymi i problemami z estetyką uśmiechu. Po dokładnej diagnostyce zaplanowano kompleksowe leczenie – od ekstrakcji i implantacji, przez leczenie ortodontyczne nakładkami Spark, aż po odbudowę protetyczną i wybielanie.
Efektem jest zdrowy, harmonijny i naturalny uśmiech, który przywrócił Pacjentowi komfort, funkcję i pewność siebie.

PRZED
PO
PRZED
PO

Każdy etap miał znaczenie – efekt współpracy, cierpliwości i pasji leczenia to uśmiech doskonały!

Do naszej kliniki zgłosił się Pan Mirosław – niezwykle pogodny i cierpliwy Pacjent, który od dłuższego czasu zmagał się z wieloma problemami stomatologicznymi. Doskwierał mu głęboki zgryz, bóle w okolicy stawu skroniowo-żuchwowego, szumy uszne, a także braki zębowe i zniszczone wypełnienia, które utrudniały codzienne funkcjonowanie.

Po dokładnej diagnostyce i rozmowie o oczekiwaniach Pana Mirosława, opracowaliśmy kompleksowy plan leczenia obejmujący m.in. szynoterapię, ekstrakcje, implantacje, powtórne leczenia kanałowe oraz pełną odbudowę protetyczną.

Dzięki konsekwentnej współpracy, cierpliwości Pana Mirosława i zaangażowaniu całego zespołu, krok po kroku udało się przywrócić stabilny zgryz, estetyczny uśmiech i pełen komfort żucia.
To przykład metamorfozy, w której cierpliwość Pacjenta i pasja leczenia połączyły się w doskonałym efekcie – zdrowym, naturalnym i pięknym uśmiechu.

Har du spørsmål?
Ønsker du å bestille en time?
Ring oss