Higienizacja to profesjonalny zabieg profilaktyczny wykonywany w naszej Klinice według protokołu GBT (Guided Biofilm Therapy), który w nowoczesny i bezpieczny sposób usuwa biofilm, kamień nazębny oraz osady i przebarwienia. Regularne zabiegi pozwalają nie tylko poprawić estetykę uśmiechu i świeżość oddechu, ale przede wszystkim skutecznie zapobiegają chorobom dziąseł i próchnicy. Efekty higienizacji są widoczne od razu – zęby stają się gładsze, jaśniejsze i zdrowsze.


PRZED
PO
PRZED
PO

Kiedy wcześniejsze leczenie zawiodło - MY zadbaliśmy o każdy detal

Pacjentka zgłosiła się do kliniki z brakiem zęba 31 po zakończonym leczeniu ortodontycznym oraz dwóch nieudanych próbach implantacji wykonanych wcześniej w innym gabinecie. Po kompleksowej diagnostyce i precyzyjnie zaplanowanym, indywidualnym leczeniu przeprowadzono implantację z jednoczesną regeneracją kości oraz etapową odbudową protetyczną. Efektem jest stabilny implant i harmonijnie dopasowana korona – dopracowana w każdym detalu, tak aby wyglądała i funkcjonowała jak naturalny ząb.

PRZED
PO
PRZED
PO

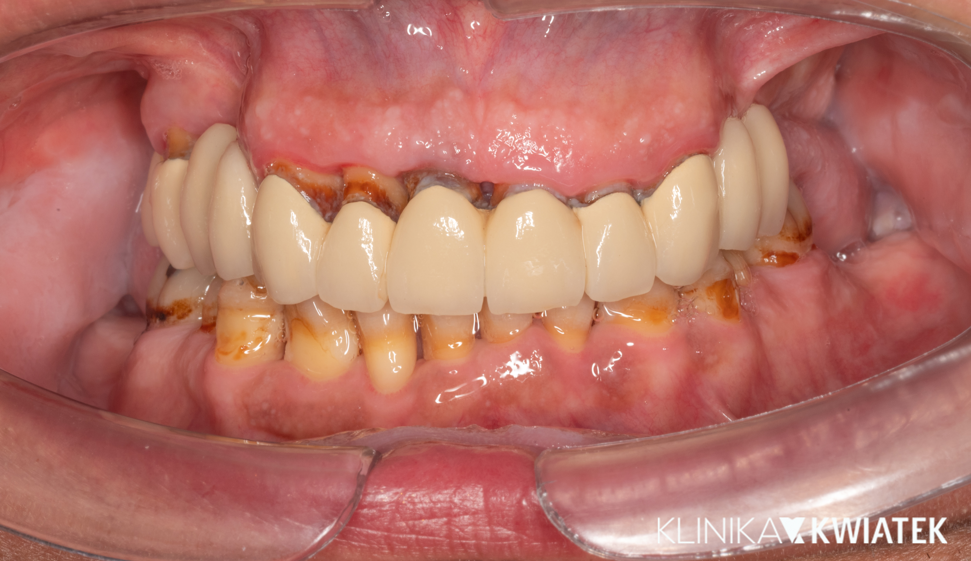
Pełnołukowa odbudowa na implantach - spektakularna zmiana funkcji i estetyki

Pacjent zgłosił się do kliniki z zaawansowanymi problemami periodontologicznymi, licznymi stanami zapalnymi, brakami zębowymi oraz znaczną nadwrażliwością. Po kompleksowej diagnostyce i etapowym leczeniu przygotowawczym przeprowadzono pełnołukową odbudowę szczęki opartą na implantach oraz implantację w odcinku bocznym żuchwy. Efektem jest stabilna, estetyczna i funkcjonalna rekonstrukcja uzębienia, znacząco poprawiająca komfort życia Pacjenta.

PRZED
PO
PRZED
PO

Metamorfoza wymagająca czasu i precyzji - zdrowie, estetyka i stabilność

Pacjentka zgłosiła się z problemem recesji dziąseł, wadą zgryzu, brakiem zawiązka zęba 34 oraz potrzebami leczenia zachowawczego. Terapia obejmowała wieloetapowe, kompleksowe leczenie: profesjonalne higienizacje, leczenie zachowawcze, ortodoncję nakładkową, zabiegi chirurgiczne oraz implantację z odbudową protetyczną. Efektem jest zdrowy, stabilny zgryz, prawidłowe warunki przyzębia oraz estetyczna i funkcjonalna odbudowa brakującego zęba.

PRZED
PO
PRZED
PO

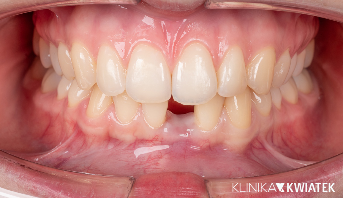
Spektakularna odbudowa uśmiechu: zaawansowana regeneracja tkanek i perfekcyjna estetyka protetyczna

Pan Jakub zgłosił się do naszej kliniki z wieloletnim problemem dotyczącym zęba 21, obejmującym znaczne uszkodzenie kości i nieszczelną starą koronę. Po pełnej diagnostyce przeprowadzono zaawansowaną regenerację tkanek oraz kompleksowe leczenie protetyczne, zakończone wykonaniem licówki 11 i pełnoceramicznej korony 21. Efekt końcowy to zdrowe przyzębie, stabilna odbudowa i estetyczny, naturalny uśmiech.

PRZED
PO
PRZED
PO

Totalna Rehabilitacja Uśmiechu - Precyzyjna Odbudowa Implantoprotetyczna

Pacjentka zgłosiła się z rozległymi brakami zębowymi, stanami zapalnymi, nieprawidłowym zgryzem oraz trudnościami higienizacyjnymi, które znacząco wpływały na estetykę i funkcję jamy ustnej. Dzięki pracy naszego zespołu specjalistów przeprowadzono kompleksową diagnostykę, serię higienizacji, implantacje w nawigacji komputerowej oraz pełną odbudowę protetyczną - od prac tymczasowych aż po finalne korony i mosty pełnoceramiczne. Efektem jest stabilny, harmonijny i estetyczny uśmiech oraz prawidłowa, komfortowa funkcja żucia.

PRZED
PO
PRZED
PO

Jak odbudować uśmiech przy braku zawiązków? Kompleksowy przypadek chirurgiczno-protetyczny

Pacjentka zgłosiła się z brakami zębowymi, w tym brakami zębów bocznych, brakiem zawiązka prawej górnej trójki oraz zatrzymanym zębem 23, co zaburzało estetykę uśmiechu i prawidłową funkcję zgryzu. Kompleksowe leczenie obejmowało implantację, regeneracje kości, re-endodoncję, korektę tkanek miękkich oraz pełną rekonstrukcję protetyczną. Ostatecznie uzyskano stabilny, funkcjonalny i estetyczny uśmiech, który w pełni kompensuje wrodzone braki zębowe.

PRZED
PO
PRZED
PO

Koordynacja leczenia kilku specjalistów - uśmiech zaplanowany od A do Z

Pacjentka zgłosiła się z licznymi ubytkami, znacznym starciem zębów oraz objawami przeciążenia zgryzu wynikającymi z wieloletniego zaciskania i zgrzytania. Po pełnej diagnostyce przeprowadzono higienizację, leczenie zachowawcze, endodontyczne i szynoterapię, a następnie ortodoncję oraz finalną odbudowę estetyczno-protetyczną wszystkich startych powierzchni zębów. Efektem jest stabilny, zdrowy zgryz, prawidłowa praca stawów oraz harmonijny, trwały i estetyczny uśmiech Pacjentki.

PRZED
PO
PRZED
PO

Precyzja, plan i efekt - metamorfoza uśmiechu w nowoczesnej stomatologii

Pacjentka zgłosiła się do naszej kliniki z licznymi problemami stomatologicznymi: rozległą próchnicą, koniecznością powtórnego leczenia endodontycznego oraz brakami zębowymi wpływającymi na estetykę i funkcję żucia

 Zastosowano kompleksowy, wieloetapowy plan obejmujący higienizację,wybielanie, leczenie zachowawcze, implantologię, ortodoncję oraz protetykę. Efektem jest w pełni funkcjonalny, estetyczny i zdrowy uśmiech Pacjentki.

PRZED
PO
PRZED
PO

Nowy uśmiech bez ortodoncji - kompleksowa odbudowa estetyczna i funkcjonalna

Pacjentka zgłosiła się ze zgryzem krzyżowym, brakiem zawiązka prawj górnej dwójki oraz niezadowalającą estetyką wcześniejszych koron. Zrezygnowała z leczenia ortodontycznego, dlatego zaplanowano kompleksową rehabilitację protetyczną opartą na pełnoceramicznych koronach CAD/CAM oraz szynoterapii okluzyjnej. Efektem jest harmonijny, stabilny zgryz, poprawa estetyki uśmiechu oraz znaczne zmniejszenie napięć mięśniowych.

PRZED
PO
PRZED
PO

Kliniczny majstersztyk: rewolucja w jamie ustnej, w której marzenie pacjenta stało się perfekcyjnie zaprojektowaną rzeczywistością

Pacjent zgłosił się do nas z uśmiechem, który od dawna nie dawał mu ani pewności siebie, ani komfortu: liczne ubytki, stan zapalny, braki zębowe i zgryz krzyżowy sprawiały, że każdy dzień zaczynał od ograniczeń. Jego pragnieniem było odzyskać piękno uśmiechu, ale także spokój i swobodę, których brakowało mu od lat.

Po pogłębionej diagnostyce stworzyliśmy spersonalizowany, wieloetapowy plan leczenia, obejmujący kompleksową higienizację, zaawansowaną odbudowę zachowawczą i endodontyczną, atraumatyczne ekstrakcje, precyzyjne leczenie ortodontyczne systemem Spark oraz implanty w kluczowych strefach estetycznych i funkcjonalnych. Całość przygotowała idealne warunki pod finalną pracę protetyczną.

Efekt? Zdrowa jama ustna, stabilny zgryz, perfekcyjnie zaprojektowane podparcie dla przyszłych uzupełnień oraz uśmiech, który zmienił sposób, w jaki Pacjent patrzy na siebie. To transformacja, która udowadnia, że marzenia o pięknym uśmiechu naprawdę mogą stać się rzeczywistością.

Har du spørsmål?
Ønsker du å bestille en time?
Ring oss