Higienizacja to profesjonalny zabieg profilaktyczny wykonywany w naszej Klinice według protokołu GBT (Guided Biofilm Therapy), który w nowoczesny i bezpieczny sposób usuwa biofilm, kamień nazębny oraz osady i przebarwienia. Regularne zabiegi pozwalają nie tylko poprawić estetykę uśmiechu i świeżość oddechu, ale przede wszystkim skutecznie zapobiegają chorobom dziąseł i próchnicy. Efekty higienizacji są widoczne od razu – zęby stają się gładsze, jaśniejsze i zdrowsze.


PRZED
PO
PRZED
PO

Zęby w harmonii – kompleksowa terapia ortodontyczna

Pacjent zgłosił się z problemem stłoczenia zębów i braku miejsca w łuku dla kła górnego, co skutkowało nieprawidłowym zgryzem i przesunięciem linii pośrodkowej. Po dokładnej diagnostyce wdrożono leczenie z wykorzystaniem aparatu BENEslider, miniimplantów oraz aparatu stałego. Efektem jest wyrównanie łuków, poprawa funkcji zgryzu i estetyki uśmiechu – zakończone utrzymaniem rezultatów dzięki retainerom.

PRZED
PO

Nakład (overlay) – najlepsze rozwiązanie dla zębów trzonowych

Dolna szóstka naszego Pacjenta wymagała odbudowy z powodu rozległego uszkodzenia korony. Po profesjonalnej higienizacji i przygotowaniu zęba osadzono nakład kompozytowy typu overlay – trwały, estetyczny i idealnie odwzorowujący naturalny kształt, co przywróciło pełną funkcję zgryzu i piękny uśmiech.

PRZED
PO

Precyzyjne wypełnienia nanokompozytowe w zębach trzonowych

W ramach planu leczenia zachowawczego wykonano u Pacjenta profesjonalną higienizację oraz odbudowy zębów trzonowych w powiększeniu (mikroskop) i przy użyciu koferdamu, uzyskując naturalny kształt i kolor dzięki materiałom nanokompozytowym. Regularne higienizacje i kontrole pozwolą utrzymać trwały i estetyczny efekt przez lata.

PRZED
PO
PRZED
PO

Od higienizacji do estetycznych wypełnień – droga do zdrowego uśmiechu!

Pacjent rozpoczął leczenie od profesjonalnej higienizacji i szczegółowego badania stomatologicznego, które ujawniło konieczność leczenia zachowawczego. Wykonano estetyczne wypełnienia kompozytowe w powiększeniu (mikroskop) i z użyciem koferdamu, uzyskując naturalny efekt i harmonijny kształt zębów. Regularne wizyty higienizacyjne i kontrolne będą kluczowe, by utrzymać zdrowy uśmiech przez lata.

PRZED
PO

Trwała i estetyczna odbudowa – wypełnienia nanokompozytowe

Pacjentka zgłosiła się na szczegółowe badanie stomatologiczne, po którym wykonano profesjonalną higienizację, oceniono stan uzębienia i wskazano konieczność leczenia zachowaczego -  tym wymiany wypełnień oraz poprawy higieny przestrzeni stycznych. Następnie, w powiększeniu (mikroskop) i przy użyciu koferdamu, odbudowano zęby nowoczesnymi nanokompozytami, uzyskując trwały, bezpieczny i naturalny efekt.

PRZED
PO
PRZED
PO

Kompleksowa rehabilitacja stomatologiczna z odtworzeniem zwarcia i estetyki – leczenie protetyczno-zachowawcze Pacjenta z zaawansowanym starciem zębów i rozległymi ubytkami!

Pan Mateusz zgłosił się do naszej kliniki z nasilonymi starciami powierzchni zębów, licznymi ubytkami próchnicowymi oraz nieprawidłowym zwarciem wynikającym z wieloletniego bruksizmu i zaniedbań higienicznych.
Realizowano wieloetapowy proces obejmujący intensywną higienizację, kompleksowe leczenie zachowawcze, plastykę tkanek miękkich i zaawansowane odbudowy protetyczne z wykorzystaniem koron pełnoceramicznych CAD/CAM.
Uzyskano harmonijną rekonstrukcję zwarcia i estetyki, znacząco podnosząc komfort życia Pacjenta  stabilizując stan zdrowia jamy ustnej

PRZED
PO
PRZED
PO

Uśmiech dopasowany do stylu życia — korony, licówki, implant — kompleksowa odbudowa funkcji i estetyki!

Pacjent, aktywny zawodowo i często podróżujący, potrzebował kompleksowego, a zarazem elastycznego leczenia. Liczne problemy protetyczne i zachowawcze  wymagały ścisłej współpracy wielu specjalistów. Dzięki precyzyjnemu planowi i nowoczesnym technologiom, odzyskał pełną funkcjonalność oraz naturalny uśmiech — gotowy na każde wyzwanie.

PRZED
PO

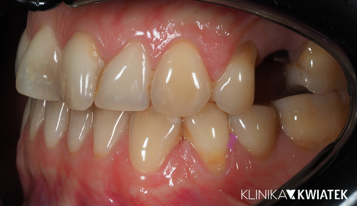
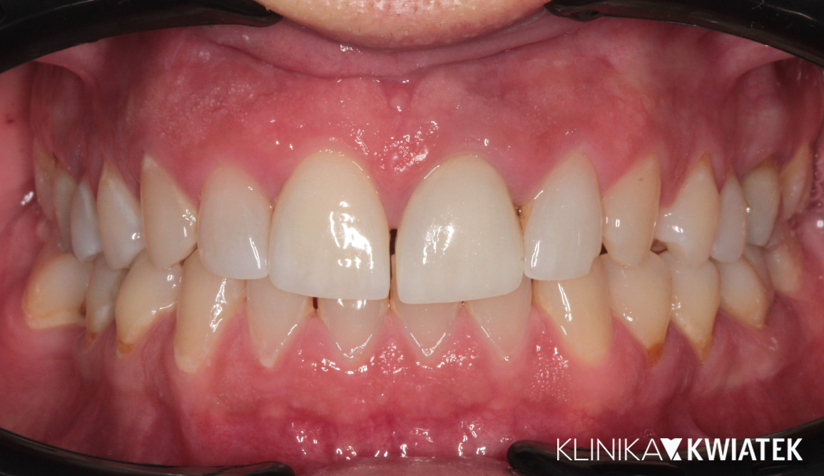
Pełna funkcja, naturalna estetyka – implanty, korony – odbudowa lewej strony żuchwy

Nasza Pacjentka przeszła kompleksową metamorfozę – od usunięcia zębów i augmentacji kości, przez implantację i odbudowę protetyczną, po higienizację i wybielanie. Szczególny nacisk położono na lewą stronę żuchwy, gdzie wykonano augmentację i wszczepiono implanty 34 i 36. Efekt końcowy to zdrowy, estetyczny uśmiech i pełna funkcjonalność.

PRZED
PO
PRZED
PO

Kompleksowa metamorfoza uśmiechu – interdyscyplinarne leczenie pozwala osiągnąć doskonały efekt funkcjonalny i estetyczny!

Do naszej kliniki zgłosiła się Pacjentka z zaawansowanymi problemami zgryzowymi, brakami zębowymi i licznymi wypełnieniami wymagającymi wymiany. Po dokładnej diagnostyce wdrożono wieloetapowy plan leczenia obejmujący leczenie nakładkami ortodontycznymi, implanty w odcinkach bocznych oraz odbudowę estetyczną zębów przednich.

Finalnym etapem było wybielanie i precyzyjne dopracowanie uśmiechu, co pozwoliło osiągnąć doskonały efekt funkcjonalny i estetyczny.

PRZED
PO

Blanc One Click – natychmiastowy efekt rozjaśnienia – bez wyrzeczeń i bez kompromisów!

Kategoria: Wybielanie, Higienizacja

Pacjentka zgłosiła się na higienizację i wybielanie zębów.
Po oczyszczeniu w protokole Guided Biofilm Therapy zastosowano rozjaśnianie Blanc One Click – szybką i bezpieczną metodę nie wymagającą poświeceń i utrzymywania białej diety.

Efekt?
Nowy, jaśniejszy uśmiech w 10 minut – a Pacjentka zachwycona!

Har du spørsmål?
Ønsker du å bestille en time?
Ring oss